电话:029-87679000(总机)
地址:陕西省西安市西五路157号
邮编:710114
网址:www.2yuan.xjtu.edu.cn

近日,西安交通大学第二附属医院骨二科(脊柱外科)收治了一名脊髓内病变的男性壮年患者。四个月前,患者突然出现腰部剧烈疼痛,在当地医院诊断为腰4-5椎间盘突出症。保守治疗后病情未缓解。一周前,患者腰痛再次加重,并出现了左下肢剧烈抽痛,难以忍受,夜不能寐,无法下床活动。当地医院住院检查后提示T12椎管内占位性病变,为了寻求更进一步的治疗,患者慕名前往我院脊柱外科王栋教授门诊就诊,王栋教授经过详细病史询问及查体后,发现椎间盘突出症、椎管内脊髓病变诊断存在疑问,建议住院诊疗。
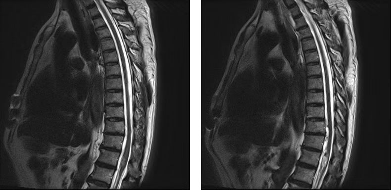
患者入院后MRI检查发现发现患者的胸12节段存在硬膜下髓内占位出血性病变,经治疗小组及科内讨论后病因诊断难以确定。经我院神经外科许刚教授会诊后,高度怀疑脊髓血管畸形,建议行脊髓血管CTA成像检查。这是一种比较罕见的隐匿性脊髓病变,常导致患者出现下肢活动受限。经血管CTA成像及造影检查,结果提示阴性,未见有脊髓内血管畸形,可以排除血管畸形动静脉漏的诊断。但患者症状还是比较严重,疼痛仍然剧烈,长期的睡眠不好,患者也出现焦虑等精神症状,诊断陷入僵局,怎么办?

王栋教授和神经外科周乐教授仔细分析了患者的病史、症状、详细查体体征、所有检查结果,考虑1.脊髓圆锥部位的髓内肿瘤/髓内血肿应该属于第一诊断;2.腰椎(L5)滑脱属于第二诊断;3. 腰椎间盘突出症属于第三诊断。分析患者腰部及左下肢的疼痛与第一诊断密切相关。但脊髓内没有血管畸形,自发出血几乎不可能,最大可能应该是脊髓内肿瘤的出血压迫圆锥神经,引起患者的急性症状,但这样的解释也不能确定。
经过积极的术前评估和详细的手术计划,以及和患者及家属的充分沟通,最后决定进行硬膜下髓内占位病损探查/切除手术。由王栋教授及周乐教授共同主刀,秦杰副教授和欧阳鹏荣主治医师担任助手,麻醉科李芳教授、郑娟医师保驾护航,手术室曲文梅护士等紧密配合,应用高清显微镜进行脊髓病变探查切除手术,全程神经电生理监护。手术中发现T12平面脊髓圆锥左侧明显膨隆,提示病变所在部位确定,分离开圆锥神经束状结构后,发现杏仁大小的棕黄色血肿,在血肿清除后,发现黄豆大小的瘤样组织,没有发现局部髓内血管的畸形及出血,手术顺利圆满完成。探查切除手术证实了术前的分析判断,术后次日,患者腰痛和腿痛症状立即消失,重拾了丢失已久的睡眠和对生活的信心。

脊髓内占位病变是一种比较隐匿的疾病,患者很少以疼痛症状就诊,此例患者的病情对医生是一个巨大的考验,需要详细的病史和医学专业知识的分析,需要多学科的合作,鉴别诊断,缜密推理,抽丝剥茧,终见真相。

西安交通大学第二附属医院拥有一支高水平的医疗团队和领先的医疗设备。本次手术的成功,体现了我院脊柱外科和神经外科团队的丰富经验和卓越技术,同时也彰显了我院对患者的高度负责和关爱,“仁心仁术,尚德尚医”的医院精神。我们将继续为广大患者提供高品质的医疗服务,让每一位患者都能享受到最好最细心的医疗救治。