电话:029-87679000(总机)
地址:陕西省西安市西五路157号
邮编:710114
网址:www.2yuan.xjtu.edu.cn
7个多月时间,对于正常人来讲很短暂。但是对于局部晚期巨块型胃癌患者郑某某及其家属来讲算是经历了比较“漫长”的期待和煎熬,之后迎来了全家欢喜的结果。这到底是怎么回事呢?
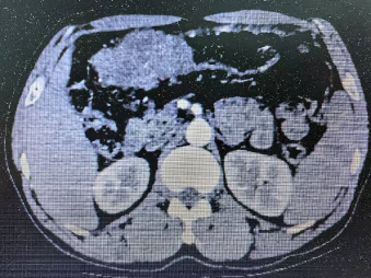
老年患者郑某某,男,60多岁,以“上腹部胀满不适1月余” 之主诉于2023年12月入住老年普外科大明宫院区(普外科四病区)王志东教授团队组。入院行胃镜检查显示胃窦癌,胃潴留,慢性萎缩性胃炎,反流性食管炎。病理活检示胃窦粘膜中-低分化腺癌(图三所示)。上腹部增强CT回报示胃窦、横结肠及其间隙内近9cm肿块型肿瘤,结肠侵犯可能,如图一所示。术前临床分期:cT4bN2M0(IIIb期)也就是通常称呼的局部晚期胃癌。将术前检查评估情况告知家属后,听到局部晚期胃癌的噩耗,家属近乎绝望。王志东教授团队耐心的和病人及家属沟通后,联合肿瘤科、影像科、老年医学科等进行了肿瘤多学科诊疗和老年病多学科诊疗(MDT)后,对该患者实施了6个周期的化疗和PD-1免疫治疗,期间患者适应性良好,未出现严重不良反应。

2023年12月CT结果 腹腔可见巨块型肿瘤

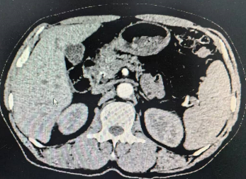
2024年7月CT结果 腹腔肿瘤消失
经过7个多月“漫长的等待”,患者于2024年7月再次入住老年普外科大明宫院区,术前再次行上腹部增强CT结果:胃窦壁稍厚,并浆膜外渗出性改变;横结肠局部壁厚,周围软组织增多,术前分期cTxNxM0,治疗后降期明显,已经符合手术根治性切除标准,如图二的CT所示。术前老年病MDT评估患者情况良好。做好术前准备后在大明宫手术室和麻醉科的配合下,2024年7月23日由科室主任王志东教授主刀,李运浩博士,金鑫住院医师协助进行完全腹腔镜下远端胃癌根治术,手术顺利,术后恢复顺利。术后病理显示胃癌病灶和淋巴结转移完全消失(图四所示),达到了医学上称之为的病理完全缓解(pCR)。知道这个结果后病人和家属都皆大欢喜,悬着的心终于放下了。术后1月来院系统复查仍然未见肿瘤复发和转移迹象,并再次进行了辅助治疗后顺利出院。

2023年12月术前胃镜病理结果 胃窦中低分化腺癌

2024年7月术后病理结果 胃原发灶和淋巴结癌灶消失
据老年普外科主任王志东教授介绍,胃癌术后病灶活检消失-即病理完全缓解(pathological complete response,pCR)是指在接受新辅助治疗或者转化治疗后的胃癌切除标本中,大体观察未见明显肿瘤残留,且在原发肿瘤区域广泛取材,镜下也未见肿瘤细胞残留,部分病人淋巴结也未见转移肿瘤细胞。本例病人胃癌的原发灶和淋巴结都未见到肿瘤细胞,说明我院对晚期或者进展期的胃癌诊治水平整体迈上了新的台阶。那么获得pCR的胃癌患者属于治愈吗?研究显示这只是预后良好的指标之一,并非完全治愈。目前的报道发现胃癌新辅助或者转化治疗后获得pCR的部分患者还会发生复发转移,尤其容易发生肝转移或脑转移,并且有些pCR患者预后比非pCR的患者更差。因此胃癌术后pCR不能简单等同于治愈,不能因为病理学上的完全缓解而放弃根治性手术和术后辅助治疗、忽略术后定期随访监测等。该病例的成功也反映出老年普外科对老年肿瘤病人采取肿瘤多学科和老年病多学科综合评估及诊疗迈上了新阶段。