电话:029-87679000(总机)
地址:陕西省西安市西五路157号
邮编:710114
网址:www.2yuan.xjtu.edu.cn
近日,我院脊柱与骨肿瘤外科团队在学科带头人王栋主任的带领下,成功实施了一例桡骨远端骨巨细胞瘤切除3D打印桡骨远端重建的创新性手术。这次手术是我院首次成功将3D打印技术应用于骨肿瘤术后大段骨缺损的重建,不仅为患者提供了精准、个性化的治疗方案,也标志着我院在3D打印数字骨科技术领域取得了重要突破。此次手术的成功,意味着我院在3D打印技术从实验室研究迈向临床实际应用、从基础理论到临床应用的转化取得了新的进展。
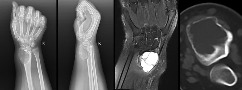
患者党**,28岁女性,因发现右侧腕部肿物伴疼痛1年来我院就诊。赵波副教授团队接诊了该患者,在对患者进行详细的专科查体后,结合患者的主诉、辅助检查结果、既往病史、现病史等综合信息,经穿刺病理活检,确诊其为“桡骨巨细胞瘤,Ⅲ级”。

赵波副教授介绍,骨巨细胞瘤是一种良性的、有局部侵袭性的肿瘤,占骨的原发肿瘤的4%-5%,骨良性肿瘤的22.7%,常表现为疼痛,肿胀,有压痛。对大多数骨巨细胞瘤患者来说,外科手术治疗是目前主要的治疗方法,其中又以病灶扩大刮除、瘤腔灭活、骨水泥填充为主要手术方式。但是该患者骨巨细胞分级达Ⅲ级,肿瘤边界不清、有骨皮质破坏,使用病灶刮除的方法可能无法完整清除病灶,且极有可能进一步破坏皮质骨,导致病理性骨折和肿瘤转移。经过我院骨与软组织肿瘤MDT团队会诊后,决定给予患者3个月的地舒单抗治疗后,采用桡骨远端肿瘤完整切除3D打印桡骨重建的手术。

经过严密、反复的计算机模拟手术,与患者完全适配的3D打印多孔桡骨假体成功设计并打印。最终,手术由王栋教授主刀,在赵波副教授、欧阳鹏荣主治医师和李宇欢住院总医师的紧密配合下,在麻醉科镇路明教授及李塞鹏、彭维护士全程保驾护航下,仅1个半小时就成功完成了肿瘤切除、假体置换、肌腱缝合重建手术,手术保护了重要的神经、血管,既完整彻底切除桡骨肿瘤,同时也最大限度地保留正常的组织和结构。手术过程顺利,术后患者康复良好,患者术后肢体功能没有任何丧失,病理检查提示切缘无肿瘤细胞残留,患者痊愈出院。

我院脊柱与骨肿瘤外科团队已从事医工结合研发个性化骨科假体的工作10余年,在此基础上,经过多年的开拓和努力,3D打印个性化假体从一个理念、一种尝试,逐渐变成了如今临床上已经可以成熟应用的技术。脊柱与骨肿瘤外科已完成3D打印人工椎体、可动人工颈椎、人工寰枢椎、人工距骨手术近百余例,均获得良好的疗效。经过10余年的积淀与传承,我院脊柱与骨肿瘤外科已成为国内3D打印治疗大块骨缺损领域的领头羊,为骨科保肢治疗技术掀开了新的一页,同时也为不幸罹患恶性肿瘤的患者带来了福音。