电话:029-87679000(总机)
地址:陕西省西安市西五路157号
邮编:710114
网址:www.2yuan.xjtu.edu.cn
近日,我院消化科超级微创手术团队与小儿外科协作,成功完成了一例儿童巨大胃重复畸形内镜切除术。该病例手术的成功开展,是我院消化内镜与小儿外科联合微创治疗的又一新进展,同时也标志着我院消化内镜与外科协作手术的成熟与进步。
患者,女,13岁,因“间歇性上腹部胀痛1年余”之主诉就诊于我院小儿外科。患者腹痛无明显规律,多于进食过饱时出现,有时出现恶心、呕吐。既往于外院行电子胃镜检查发现胃窦幽门侧大弯区一巨大隆起,顶端略凹陷,表面光滑,被覆正常黏膜。超声内镜见该隆起起源于黏膜肌层低回声占位,内部回声均匀,考虑胃重复畸形可能。患者及家属辗转数家医院后来我院求进一步诊治。
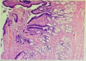
李鹏主任团队果断收患儿住院,完善上腹部增强CT检查,提示胃窦至十二指肠腔内可见一类圆形厚壁囊性灶,增强扫描未见强化。李主任团队结合完善的检查及丰富的临床经验,确诊患儿为胃重复畸形,并探索性提出外科保障内镜切除的手术理念,为患儿制定最优的超级微创治疗方案。小儿外科李鹏教授团队与请消化内科邹百仓教授带领消化内镜超级手术团队充分讨论后确定了手术方案,考虑到患儿病灶较大,内镜切除后消化道穿孔、出血风险增高,决定将操作放在手术室进行,必要时拟采用“双镜联合”(内镜-腹腔镜联合手术(LECS)),与患者及其家属充分沟通后,实施了内镜下微创手术。术中所见胃窦大弯侧巨大黏膜下隆起,大小约3X5cm,可坠入十二指肠球腔,造成幽门梗阻(图1),邹百仓教授利用内镜牵引技术把病变牵引并固定在胃腔,运用内镜黏膜下剥离技术,剥离暴露病变呈囊状,囊体底部与胃壁固有肌层紧密连接。术中与李鹏教授讨论决定,切除大部分囊体,残留少量与胃壁融合囊壁而保护胃壁完整,避免胃壁缺损(图2)。切除标本取出呈囊性,大小约4*5cm(图3)。处理创面血管及出血点,手术顺利,病灶标本组织送检,患儿术后安返病房,常规对症治疗1周后,正常出院。标本组织病理学显示胃壁肌壁间可见囊腔,囊腔内壁覆胃黏膜上皮及少许胰腺组织,诊断为胃重复畸形(图4)。

图1

图2

图3

图4
随着内镜诊疗技术的发展,内镜治疗进入超级微创阶段,使得许多消化道病变可以进行超级微创治疗,尤其是与外科协作使内镜微创治疗更安全高效。重复畸形囊肿是一种罕见的先天性畸形,可发生在整个消化道的任何地方。胃是一种极其罕见的发生部位,占胃肠道重复囊肿的2%-7%,主要发生在儿童,很少发生在成人。胃重复囊肿临床的主要治疗方法为外科手术切除,目前内镜下治疗的病例报道很少,我们认为内镜切除是一种微创、安全的治疗方法,我院成功切除本例患儿胃重复畸形囊肿,证实内镜切除是切除胃重复畸形囊肿的有效治疗选择,标志着我院在微创手术领域有了新突破,为内镜与外科合作的适应症做出了有意义的探索。