电话:029-87679000(总机)
地址:陕西省西安市西五路157号
邮编:710114
网址:www.2yuan.xjtu.edu.cn
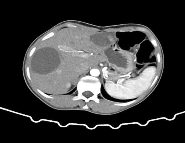
近期阿里地区人民医院收治一名28岁女性患者,体重40Kg,身高140cm,BMI20。以“体检发现肝包虫5年,肝区疼痛1年”之主诉入院。入院后完善B超及上腹部增强CT:肝脏S3段见大小8×7cm囊性病灶,S6、7段见大小约9×8cm 囊性病灶,诊断肝囊型包虫病(CE₃型)。我院援藏队员张立、何鑫、李洪亮及蔡艳组织MDT讨论,制定手术计划,考虑到患者年轻,肝脏体积小,药物作用慢,为防止包虫复发,及术后胆漏合并感染问题,决定采用外囊完整切除的根治性治疗。
肝包虫病是流行于世界畜牧业地区常见的人畜共患寄生虫病,患病率高至2/1000,未治疗或治疗不当患者病死率约为4%,严重危害人体健康和经济发展,是重要的公共卫生问题。目前肝包虫病的主要诊断手段是影像学和实验室检查,药物虽然也在肝包虫病的治疗上起一定作用,但外囊剥除手术仍然是根治性治疗的首选方式。
11月19日术中联合控制中心静脉压,Pringle法间断阻断肝门,精准定位外囊与肝组织的界限,避免损伤门脉分支及胆管等重要结构,保持囊壁完整性,术中出血约100ml,成功行“肝左叶S3切除,右叶包虫外囊摘除术”。术后患者恢复良好,病理为:外囊完整囊性肿物,内有粉皮样物,符合包虫病。



在阿里地区人民医院以往肝包虫病手术中,均为内囊摘除或外囊部分切除,存在病变复发的可能性,我院援藏队员在开展此次手术过程中,毫无保留地对当地医疗团队进行传帮带教,通过理论讲解、实践操作指导等方式,快速提升了当地医护人员在肝脏手术方面的知识储备与实操水平,为医院打造了一支带不走的专业医疗队伍,有力促进了当地医疗事业的可持续发展,让先进医疗技术在这片土地上生根发芽,持续造福更多患者,为西藏地区的医疗卫生事业注入了强劲动力,在当地医疗发展史上留下了浓墨重彩的光辉篇章。