电话:029-87679000(总机)
地址:陕西省西安市西五路157号
邮编:710114
网址:www.2yuan.xjtu.edu.cn
近日,西安交通大学第二附属医院心内科邓捷主任及董新教授团队,成功为一例95岁超高龄患者经颈内静脉植入无导线起搏器(Micra),系我院首例经颈内静脉植入无导线起搏器(Micra),该患者也是我国经颈内静脉植入Micra最高龄患者。本次手术由邓捷主任、董新教授主刀,李青、孙玉宇医生担任助手,刘尊、华小文任护理团队,超声科高培蓉医生协助超声评估及穿刺。
95岁男性患者,近半年反复发作头昏,心电图提示房颤伴间歇性三度房室传导阻滞,具有起搏器植入指征,但考虑到患者超高龄、体型消瘦、皮肤菲薄,行传统有导线起搏器发生囊袋感染、破溃等并发症风险高,需口服利伐沙班抗凝治疗增加切口出血及感染风险,且既往股骨头置换术后不能长时间平卧及配合,全身状况无法耐受较长时间手术。而新型无导线起搏器(Micra)较传统有导线起搏器相比,具有“小身材、大能量”的特点,其创伤微小、无需切开皮肤和制作囊袋,也不用经锁骨下静脉放置电极导线,体积仅胶囊大小,重量约为2g,具有较强的电池续航能力,手术时间相对短,成为了解决该患者心率慢问题的首选方案。

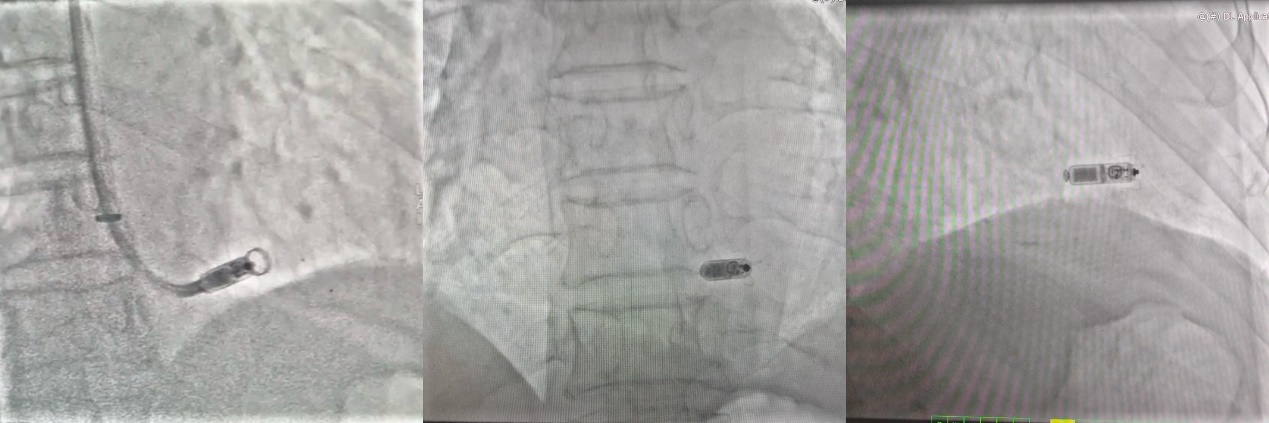
然而术前评估却又发现了新的困境——该患者4年前因下肢静脉血栓行下腔静脉滤器植入,成为了Micra植入的拦路虎。

山重水复疑无路,硬核技术破困境。目前认为下腔静脉滤器植入术后是Micra的相对禁忌症,可能导致滤器移位、腔静脉损伤等。经与家属再次沟通,结合患者病情与家属意愿,团队查阅既往经颈静脉成功植入Micra报道资料,决定为患者经颈内静脉植入Micra。由于经颈内静脉为非常规入路,术前团队再次进行了谨慎的评估和准备,经过评估认为患者血管直径可以满足27Fr鞘管的植入要求。
7月6日下午,经超声引导下颈内静脉穿刺成功后,手术正式开始。由于颈内静脉更直,送入递送系统过程中有系统头端压力过大的风险。为避免此风险,需在术中全程X线透视并保持递送系统处于弯曲状态,采用多角度X线透视以确保起搏器始终处于间隔位置。顺利进入27Fr的传送鞘管后起搏器于间隔部位释放成功,参数满意。



由于经颈内静脉途径做牵拉试验时,固定翼的活动度不易观察,手术团队也在多角度多体位反复确认后得以通过牵拉试验。手术用时仅30分钟,术后第一天患者下地活动,穿刺部位加压包扎4—6小时后改为普通包扎,程控提示起搏器起搏与感知功能良好。

邓捷主任介绍,Micra的优势包括:无伤疤、无切口,避免了囊袋及导线并发症,股静脉入路避免了气胸等静脉穿刺损伤,手术时间短、成功率高,术后当日即可下地,减少术后恢复时间,能兼容1.5T/3.0T全身核磁共振扫描检查,极大提高了患者生活质量,该技术现已在我国起搏领域迅速发展壮大,我院心内科已成功实施多例Micra植入。我们团队后续将会探索更多经验,使这项技术不断完善和成熟,为更多患者带来获益。
