电话:029-87679000(总机)
地址:陕西省西安市西五路157号
邮编:710114
网址:www.2yuan.xjtu.edu.cn
在医疗技术与人文关怀深度融合的当下,西安交通大学第二附属医院始终站在医学前沿,以无畏的探索精神和深厚的社会责任感,持续为特殊患者群体开辟生命健康的绿色通道。近期,在运动医学科时志斌主任的带领下,科室团队再次成功为合并HIV的患者实施了高难度的膝关节置换手术,书写了在该领域的卓越成就与医者担当。

手术场景
作为一家在国内享有盛誉的大型三甲医院,西安交大二附院凭借着深厚的医学积淀、先进的医疗设备以及顶尖的医疗人才,多年来一直致力于攻克各类疑难病症,在患者心中树立起了值得信赖的丰碑。医院的综合救治水平堪称行业典范,能够从容应对各类复杂病情,为患者提供全方位、个性化的诊疗方案。
此次膝关节置换手术的顺利开展,是医院综合实力的又一次有力彰显。合并HIV的膝关节置换手术,因其特殊的病理生理状态,手术风险和难度呈几何倍数增长。不仅要考虑膝关节置换手术本身的复杂性,如关节假体的精准植入、周围软组织的妥善处理 ,还要兼顾HIV患者免疫力低下易感染、身体机能恢复慢等问题。然而,时志斌主任带领的运动医学科团队凭借丰富的临床经验、精湛的专业技术以及对前沿医学的深入研究,在术前进行了全面而细致的评估,制定出科学、精准的手术方案,从每一个细微环节入手,确保手术的安全性与有效性。

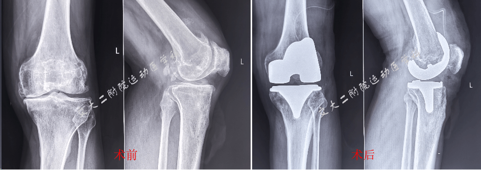
手术前后膝关节X线片
麻醉科丁晓英教授团队堪称手术过程中的“生命守护者”。面对合并HIV患者的特殊麻醉需求,他们提前进行了充分的准备和深入的讨论,凭借丰富的经验和精湛的技术,在手术过程中精确把控麻醉深度和药物剂量,为膝关节置换手术的平稳推进提供了坚实的保障,让患者在无痛、安全的状态下接受手术治疗。
手术室护理团队同样发挥了不可或缺的作用。赵丽燕护士长带领王敏护士等护理人员,以高度的责任心和专业素养,在术前精心准备手术器械和物资,手术室调配,提供防护物资,仔细核对每一个细节,确保膝关节置换手术所需的各类器械、假体等物品一应俱全且状态良好;手术中,她们与医生、麻醉师密切配合,准确、迅速地传递器械,时刻关注患者的生命体征变化,为手术的顺利进行提供了全方位、高质量的护理支持。
回顾过往,西安交大二附院运动医学科在党晓谦主任和时志斌主任的引领下,已多次成功开展合并HIV的手术,涵盖交叉韧带修复、各类运动损伤治疗以及此次的膝关节置换手术等多个领域。每一次手术都是对医学技术的挑战,也是对医者仁心的考验。科室团队凭借着对患者的关爱和对医学事业的执着追求,一次次突破技术瓶颈,为合并HIV的患者带来了希望与新生。
在社会层面,这些手术的成功开展具有深远意义。它不仅展现了医院高超的医疗技术水平,更体现了医院对每一个生命的尊重与关爱,消除了社会对HIV患者的偏见和歧视,传递了平等、包容的社会正能量。医院用实际行动诠释了“健康所系,性命相托”的医学誓言,为构建更加和谐、包容的社会环境贡献了重要力量。
展望未来,西安交通大学第二附属医院将继续秉承“生命至上、患者至上”的理念,不断提升医疗技术和服务水平,积极履行社会责任,在守护患者健康的道路上砥砺前行,为更多患者带来健康和希望,书写更多生命的奇迹。