电话:029-87679000(总机)
地址:陕西省西安市西五路157号
邮编:710114
网址:www.2yuan.xjtu.edu.cn
2月19日,我院消化内科超声内镜团队成功开展我院首例超声内镜(EUS)引导下弹簧圈联合组织胶精准栓塞术,为肝硬化合并胃底静脉曲张破裂出血患者提供创新性治疗解决方案。该手术标志着我院在门脉高压并发症及EUS介入治疗领域实现技术突破。

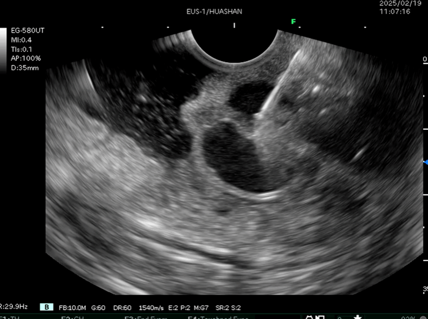
本次手术由消化内科史海涛副主任、马师洋副教授、赵菊辉副教授及袁佳医师组成核心术者团队,依托超声内镜系统,创新性采用"弹簧圈骨架支撑+组织胶生物封堵"双联疗法。术中使用多普勒超声实时导航技术,精确定位大小为3×2.5cm的曲张静脉团块。通过预载式FNA穿刺系统,将医用级钛合金弹簧圈精准植入曲张血管腔道形成物理支撑,继而注入医用组织胶与聚桂醇复合制剂,在血管腔内形成稳定的生物-机械复合栓塞体。与传统内镜治疗方法相比,该术式具有显著优势。一方面,能够借助超声多普勒实时评估血流动力学变化,实时监测手术进程,最大程度规避误穿风险;另一方面,持久的栓塞效果有效降低了再出血率,同时巧妙地规避了异位栓塞风险,极大减少了术中出血风险,为患者的生命安全提供了更有力的保障。



此次手术的成功实施,不仅成功解除了患者的病痛,也为我院在胃底静脉曲张精准治疗领域积累了宝贵的临床经验。展望未来,消化内科将继续坚定不移地推动消化道出血诊疗体系朝着精准化、微创化方向深入发展。 相信在团队的不懈努力下,将为更多患者带来更优质、高效的医疗服务。