电话:029-87679000(总机)
地址:陕西省西安市西五路157号
邮编:710114
网址:www.2yuan.xjtu.edu.cn
近日,我院眼科成功为60岁的安徽蚌埠患者张阿姨实施陕西省首例单步隧道法新型微创小梁切除术(SIGS)。术后首日监测显示,患者右眼眼压降至12mmHg(正常范围10-21mmHg),角膜恢复基本透明状态,内皮皱褶显著改善,视力明显提升。得益于手术的微创特性,患者当日下午即顺利返程安徽。
安徽省蚌埠市60岁的张阿姨在前往兰州的火车上突发右眼胀痛、视物模糊,还伴有头晕、恶心、呕吐等症状。休息后这些症状并未缓解,张阿姨在西安站下车后立即被送至我院急诊科就诊。急诊科医生考虑到症状可能与眼部疾病有关,遂请眼科医生会诊。经眼科医生仔细检查后发现,张阿姨右眼视力仅为指数,眼压高达75mmHg(正常眼压范围为10-21mmHg),角膜上皮弥漫性雾状水肿,前房极浅,瞳孔欠圆,直径约6mm,晶状体混浊。诊断为张阿姨是原发性急性闭角型青光眼,即右眼急性发作期、左眼临床前期,双眼老年性白内障。张阿姨随即被收住眼科病区,接受局部及全身降眼压药物治疗,效果不佳。考虑到持续高眼压对视神经的损伤,眼科范雅稚副主任当机立断为患者进行前房穿刺放液,眼压暂时得到有效控制。但经过一周的治疗及观察后,她的角膜始终未恢复透明,角膜内皮皱褶严重。

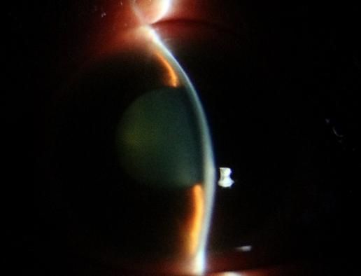
患者前房穿刺放房水并使用缩瞳药物后
随后进一步的辅助检查发现张阿姨的眼部情况极为复杂,双眼小眼球的结构使得眼部的房水循环存在一定障碍,右眼前房深度仅1.27mm,左眼前房深度1.67mm,前房极浅的状况进一步阻碍了房水的正常流通,是引发眼压升高的重要因素之一。同时,张阿姨右眼还存在睫状体脱离的问题,这不仅影响了眼部的正常生理功能,还增加了治疗的难度。她的中央角膜处于灰白水肿状态,角膜不透明这一情况使得内路微创手术及白内障手术无法实施,医生难以清晰观察眼内结构,手术风险会大幅增加。如果不立刻手术,等待角膜恢复透明的过程中,患者又随时可能出现二次青光眼大发作的情况。

UBM结果提示:右眼前房极浅,部分房角关闭,睫状体浅脱离
针对这一治疗困境,青光眼团队王建明主任、范雅稚副主任及王艳芬博士的深入讨论和分析,结合张阿姨的具体病情,最终决定为她实施单步隧道法---新型微创小梁切除术(SIGS)。这种术式以最小创伤实现高效降眼压,切口小、创伤小,能最大程度减少对眼部组织的损伤,降低并发症发生的风险,且该手术没有额外的一次性耗材,减轻了患者的经济负担,是当下挽救张阿姨视功能的理想选择。实施SIGS手术后第一天,张阿姨右眼眼压12mmHg,角膜基本透明,内皮皱褶明显减少,视力显著提升。术后张阿姨表示没有任何不适感,对治疗效果赞不绝口,并表示等角膜恢复后,一定还要请范雅稚医生亲自为她做后续的手术。由于手术非常微创、安全,张阿姨当天下午就踏上了回安徽的火车。范雅稚副主任介绍:“对于像张阿姨这样角膜条件差、病情复杂、又担心传统小梁切除术并发症的患者,切口小、创伤小、安全性高的SIGS无疑是一个理想的选择,同时也为后续微创手术提供了时间窗。”


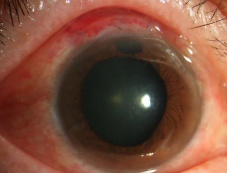
术后第一天,未使用缩瞳药物及任何降眼压药物
自2023年起,青光眼团队率先在省内开展青光眼微创手术,并持续改进和完善手术技巧。目前,青光眼微创手术占所有青光眼术式的95%左右,切实践行“以最小创伤换最大疗效”的医疗理念,也彰显了我院眼科在青光眼治疗领域的卓越实力与创新精神。目前开展的微创青光眼手术包括360°内路小梁切开术(GATT)、房角镜辅助下房角分离术(GSL)、房角镜辅助下部分内路小梁切开术(GAPT)、微创小梁切除术(SIGS)、聚焦超声睫状体成形术(UCP)、高频深层巩膜切开术(HFDS)、微脉冲激光小梁成形术(MLT)等。西安交大二附院眼科青光眼团队实力雄厚,治疗和手术设备先进齐全,针对原发性开角型青光眼、闭角型青光眼、难治性青光眼、儿童青光眼、继发性青光眼以及青光眼合并白内障等各类青光眼,均有丰富的治疗经验。
西安交大二附院眼科青光眼团队凭借持续的技术创新与经验积累,为青光眼患者带来了更多的希望。先进的微创手术,不仅显著降低了手术风险,还极大地提升了治疗效果。对于长期饱受青光眼病痛折磨的患者而言,如今可以借助这些微创手术,以更小的创伤、更短的恢复周期,有效控制眼压,遏制病情恶化,逐步恢复清晰视力。根据每位患者的年龄、病情阶段、眼部结构等特点,量身定制个性化、精准的治疗方案,确保每位患者接受最适宜的治疗,实现从“治疗疾病”到“关怀患者”的全方位转变,为青光眼患者点亮了重见清晰世界的希望之光。西安交大二附院眼科青光眼团队凭借精湛医术与创新精神,成功开展多项新型微创青光眼手术,为众多青光眼患者带来新希望,收获满意疗效,在青光眼治疗领域迈出坚实步伐。