电话:029-87679000(总机)
地址:陕西省西安市西五路157号
邮编:710114
网址:www.2yuan.xjtu.edu.cn
近日,核医学科成功开展了我院首例奥曲肽PET/CT神经内分泌肿瘤显像检查,为神经内分泌肿瘤的早期诊断、精准分期、疗效评估提供了全新的解决方案,标志着我院在肿瘤分子影像诊疗领域的新征程。
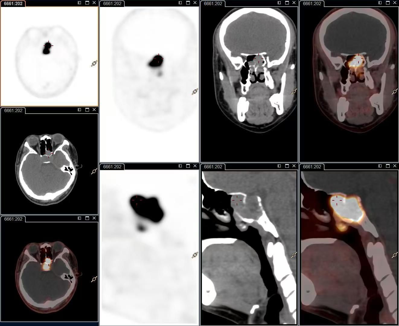
本次显像病例是一位24岁的年轻男性患者,因左侧鼻塞活检提示神经内分泌肿瘤(NET,G2),免疫组化提示SSTR2(3+),患者行治疗前评估。核医学科团队在充分告知并取得知情同意后,为该患者进行18F-奥曲肽PET/CT显像。结果显示,18F-奥曲肽 PET/CT能明显显示病灶范围,充分体现了18F-奥曲肽PET/CT在神经内分泌肿瘤诊疗中的优势。


神经内分泌肿瘤(neuroendocrine neoplasms,NENs)是一类起源于肽能神经元和神经内分泌细胞,具有神经内分泌分化特性并表达神经内分泌标志物的少见肿瘤,可发生于全身各处,以肺和胃肠胰最为常见。
生长抑素(Somatostatin, SST)是一种由14个氨基酸组成的小分子肽类激素,在体内分布广泛:以下丘脑正中隆起的浓度为最高,其他部位如交感神经、胃肠、胰岛、肾、甲状腺与甲状旁腺等组织均有分布。生长抑素受体(SSTR)主要分布在神经内分泌起源的细胞表面,如垂体前叶的促生长细胞和胰腺的胰岛细胞;某些起源于神经内分泌细胞的肿瘤表面通常会过表达SSTR,如胃泌素瘤、 胰岛细胞瘤、垂体腺瘤、嗜铬细胞瘤、副神经节瘤、类癌、甲状腺髓样癌等。因此使用放射性核素标记的生长抑素受体显像被广泛应用于神经内分泌肿瘤的诊断中。奥曲肽是一种人工合成的生长抑素类似物,18F-AlF-NOTA奥曲肽显像主要用于研究生长抑素受体成阳性的内分泌肿瘤显像的研究,适用于神经内分泌肿瘤的诊断和分期。
此次奥曲肽 PET/CT显像的成功开展,不仅彰显了医院在精准医疗、技术创新与引进方面的持续进展,也体现了与临床密切结合,共同解决临床诊疗难题的协作精神。核医学科将继续扎根分子影像领域,深耕核素治疗与显像,服务临床、服务患者。