电话:029-87679000(总机)
地址:陕西省西安市西五路157号
邮编:710114
网址:www.2yuan.xjtu.edu.cn
近日,我院骨科中心关节与足踝病区张晨教授团队收治了一名特殊的骨折患者。该患者因车祸致伤由急诊入院,外院X线检查提示左侧锁骨远端骨折合并肩锁关节脱位。

入院后,骨科中心关节与足踝病区张晨教授团队迅速展开术前评估,完善肩关节三维重建及MRI等检查。结果显示,患者左侧锁骨远端严重毁损,合并肩锁关节脱位。传统钢板复位难度较大,且术后功能恢复存在挑战,患者对二次手术取出钢板存在较大焦虑和抵触情绪。团队在积极完善术前准备的同时,重新评估并优化手术方案。经过慎重考量,团队决定采用创新的悬吊缝合桥技术,以期达到良好的治疗效果,同时避免患者因钢板取出而经历二次手术。经充分的术前讨论并取得患者及家属知情同意后,手术于2025年3月6日顺利实施。术中,骨折端对位良好,肩锁关节复位稳定,患者现已出院并在康复指导下开展功能训练。

术前肩关节三维CT

术中图

术中透视

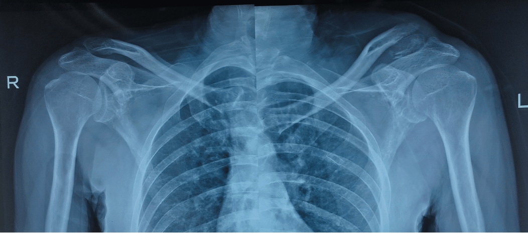
术后复查X线片
锁骨远端骨折合并肩锁关节脱位的治疗难点在于既要稳定骨折端,又要精准复位肩锁关节。长期以来,钩钢板一直是该类损伤的首选手术方案,但其局限性较为突出。首先,钩钢板植入过程中易损伤肩峰周围软组织;其次,术后异物感明显,肩关节活动受限,影响功能恢复;最后,患者需接受二次手术取出钢板,不仅增加手术风险,也加重心理负担。针对这些问题,该患者手术采用创新悬吊缝合桥技术,是在肩锁关节脱位手术中喙锁悬吊系统的基础上创新改良而成。术中分别于喙突基底部、锁骨近端、锁骨远端及肩峰放置带袢钛板,并使用缝线交错连接各钛板,构成对骨折端起弹性固定作用的缝合桥。该技术以喙突为基底,通过上方多个固定点下压复位骨折端及肩锁关节,形成稳定的固定结构。
与传统钩钢板技术相比,悬吊缝合桥技术具有诸多优势。首先,该技术在提供稳定固定的同时,无需取出内植物,患者可避免二次手术,极大降低术后痛苦。其次,弹性固定方式为术后早期活动提供足够空间,有助于患者尽早开展功能锻炼,提高术后恢复质量。此外,相较于钩钢板,患者术后异物感明显降低,舒适度更高。该创新技术的成功应用,为锁骨远端骨折合并肩锁关节脱位的治疗提供了一种更加微创、高效的选择,也标志着我院在骨科创新治疗领域取得了新的突破。
术无定式,手术技术的革新源于临床需求的推动。我院骨科中心关节与足踝病区医疗团队始终秉持“创新技术,造福患者”的理念,不断探索新的手术方式,以更微创、更高效的治疗方案提升患者的预后。此次悬吊缝合桥技术的应用,不仅成功解决了患者的临床难题,也为同类手术提供了可借鉴的经验。未来,团队将持续优化该术式,进一步提升其临床应用价值,为更多患者带来福音。