电话:029-87679000(总机)
地址:陕西省西安市西五路157号
邮编:710114
网址:www.2yuan.xjtu.edu.cn
近日,心血管外科高峰主任团队完成我院首例全动脉化搭桥手术,为年轻冠心病患者建立生命“心”通道。
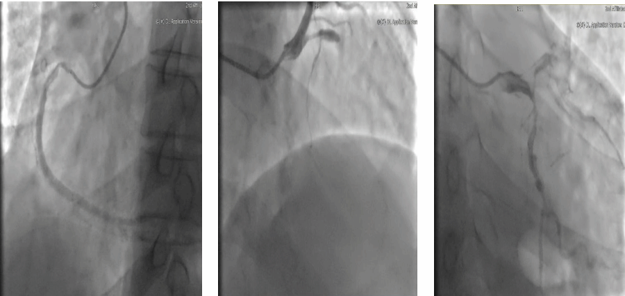
“才54岁,胸痛两年一直忍,检查结果出来全家都慌了!”近日,来自陕西的张先生因严重冠心病就诊于我院,冠脉造影显示心脏三支主要血管严重堵塞,随时可能引发心梗。传统搭桥手术通常采用“静脉+动脉”组合,但静脉桥容易老化。考虑到张先生年龄较轻,为提高远期疗效,心血管外科高峰主任团队制定“全动脉化搭桥”方案——用更坚韧的动脉血管作为“新生命线”,为患者争取更优质的生活质量,最大可能地提高远期生存率。


手术当日,在麻醉科、手术室多团队配合下,高峰主任凭借丰富手术经验,选取左胸壁的乳内动脉搭建前降支桥,用双侧前臂桡动脉完成另外两处搭桥(乳内动脉-前降支,桡动脉-第一钝缘支-第二钝缘支,桡动脉-后降支)。这种“三桥联建”方案既保证了充足的血流,又最大限度保护了血管功能。此外,术中还同步完成两项精细手术操作,为严重钙化的血管实施“内膜剥脱术”清除斑块,对异常心肌束进行“肌桥松解术”解除压迫。手术历时4小时,4根动脉桥血管完美吻合,血流监测仪显示桥血管流量及阻力指标良好。术后5小时患者清醒,当晚脱离呼吸机恢复自主呼吸,术后第3天即转回普通病房。查房时患者感慨:“原来胸口像压着大石头,现在呼吸都轻快了!”术后7天,患者顺利出院。
“让患者一次手术受益终生是我们的追求”,高峰主任表示。近年来随着生活方式的改变,冠心病发病年龄年轻化趋势明显,一般采用乳内动脉及下肢大隐静脉的常规冠脉搭桥手术远不能满足年轻患者的长期需求。对于50-60岁的冠心病患者,全动脉化搭桥不仅能救命,更能保障未来20年甚至30年的生活质量。全动脉化搭桥具有三大优势:具有更长的远期通畅率,动脉桥10年通畅率达90%以上,是传统静脉桥的2倍;取材更安全,避免截取下肢静脉后出现腿部感染、水肿风险;最大程度避免二次手术风险。真正实现“修桥一次,畅通一生”。
西安交大二附院心血管外科通过持续技术创新与多学科协作,在冠脉领域不断取得新进展。团队构建了“动脉桥血管精准保护技术体系”,术前精准血管评估、术中显微外科吻合技术及术后个体化抗痉挛管理方案,形成全流程标准化诊疗路径,显著提升了冠心病患者的手术成功率与远期预后,标志着我院心血管外科在冠脉血运重建领域迈入精准治疗的新阶段。