电话:029-87679000(总机)
地址:陕西省西安市西五路157号
邮编:710114
网址:www.2yuan.xjtu.edu.cn
近日,西安交通大学第二附属医院耳鼻咽喉头颈外科张晓彤教授在西安交通大学第二附属医院洛阳医院(伊滨院区)为受多年耳疾困扰的李女士实施手术。术后,李女士恢复良好、耳朵溢脓症状得到了有效控制、自觉听力也逐渐恢复。
据了解,李女士反复的耳朵溢脓严重影响了她的日常生活质量,右耳全聋更是给她的身心带来了巨大创伤。半年前,她因中耳炎在县医院接受了鼓膜修补手术,病情却未得到有效控制。苦于被病情折磨,李女士辗转于洛阳各大医院,效果不佳。在得知西安交通大学第二附属医院耳鼻咽喉头颈外科专家张晓彤教授进驻洛阳医院开展诊疗活动后,李女士怀着激动的心情来就诊。张教授详细询问了她的病史,对李女士进行了全面而细致的检查和评估,择期安排手术治疗。

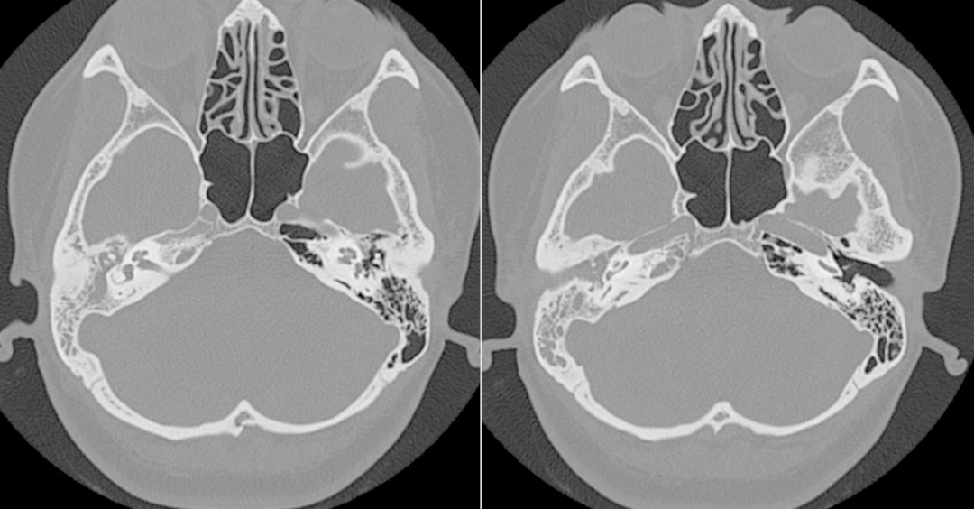
术前CT
由于患者属于二次手术,正常的解剖结构遭到了破坏、长期的炎症病变使术区不断渗血且粘连明显极大地加大了手术难度。在团队的配合下,张晓彤教授凭借着高超的医术克服手术中的重重困难,经过近4小时的紧张奋战,手术顺利完成。术后,在医护人员的精心照料下,李女士恢复良好。

此次手术的成功,不仅仅是张晓彤教授及其团队专业实力的有力证明,也是践行国家区域医疗中心建设的初衷。区中建设是让区域内疑难危重症得到治疗,诊疗技术进行推广,辐射和引领区域内医学发展和医疗服务能力提升,李女士得到有效的治疗、获得健康的曙光,是区中建设辐射的缩影,也是广大豫西地区耳疾患者的希望。下一步,洛阳医院将紧紧抓住国家区域医疗中心建设的机遇,与西安交通大学第二附属医院深度合作,不断加强学科建设,提升医疗技术水平,攻克更多疑难病症,更好的为百姓健康保驾护航。