电话:029-87679000(总机)
地址:陕西省西安市西五路157号
邮编:710114
网址:www.2yuan.xjtu.edu.cn
近日,西安交通大学第二附属医院心血管内科邓捷主任、薛嘉虹教授团队,在西北地区率先运用食管牵开球囊保护技术为74岁高龄患者王女士治疗复杂难治房颤并取得成功。该技术通过创新性的食管主动牵开设计,为高龄高危房颤患者提供“安全+疗效”双保障,并有效减轻了患者在消融手术中的疼痛与不适,进一步提升了手术安全性,真正实现了护“心”续航。
王女士有高血压和糖尿病病史,半年前因冠状动脉严重狭窄植入了2枚支架。多年来,她反复出现胸闷、心慌、气短等症状,并于当地医院被确诊为“心房颤动”。薛嘉虹教授接诊后,注意到患者面部表情凝重,王女士自述长期饱受心慌困扰,心脏健康状况不佳,甚至彻夜难眠。
“患者需行射频消融术缓解病痛。”薛嘉虹教授介绍,王女士病情面临多重挑战:一方面,高龄、长期高血压、糖尿病及存在冠脉支架植入史,使其心脏结构与功能相对脆弱;另一方面,传统房颤射频消融需在左心房后壁操作、该区域紧邻食管,传统术式用高能量消融确保“透壁性”、即阻断异常电传导,此方法极易致食管热损伤,严重时引发心房食管瘘,死亡率超75%。若为规避风险而采用低能量消融,又可能因透壁不彻底导致房颤复发,使治疗陷入“保安全则疗效折损,求疗效则风险陡增”的两难境地。食管牵开球囊保护技术的应用,有效解决了上述难题,实现“三重防护”。精准显影(See),精准定位食管与拟消融线的相对位置关系,避免“盲操作”;控制固定(Fix),固定食管位置,防止因呼吸、心脏搏动发生移位,确保消融区域始终远离食管;主动移位(Shift):通过球囊牵拉,将食管主动牵移远离拟消融部位,为后壁消融创造充足操作空间,从解剖层面切断食管损伤的风险链。

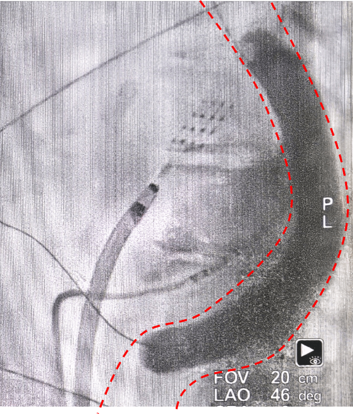
红色虚线处为食管的初始轮廓

红色虚线处为食管牵移后轮廓
按照术前规划,薛嘉虹教授在术中发现,通过显影可见患者食管初始位置紧贴左肺静脉后壁的预定消融线。在X光透视和三维导航系统的精准引导下,团队利用球囊将食管牵拉、移开至安全距离。操作医生得以放心施加充足能量,对左心房后壁实施射频消融,既保证了消融的透壁效果,又全程避免了食管损伤。整个手术过程顺利,患者未出现任何不适,术后临床症状显著缓解。

邓捷介绍,临床数据显示,应用食管牵开球囊后,食管损伤风险降低95%,患者术后一年房颤复发率较传统手术下降三分之一,真正实现了“安全与疗效兼得”。SAFER食管牵开球囊技术打破了传统消融手术中安全与疗效难以兼顾的困境,使高龄高危患者也能安心接受根治性治疗。
作为西北地区首例食管牵开球囊保护技术用于射频消融术的临床应用,该手术的成功不仅展现了西安交通大学第二附属医院心血管内科在心律失常治疗领域的技术突破,更标志着本地区房颤消融手术从以往的“风险权衡”迈向了“安全与效果双提升”的新阶段,为守护西北地区人民的心脏健康提供了新的技术支撑。