电话:029-87679000(总机)
地址:陕西省西安市西五路157号
邮编:710114
网址:www.2yuan.xjtu.edu.cn
“牙痛不是病,疼起来要人命”—— 这句俗语,对陕北 42 岁的郭女士而言,是一场从智齿拔除开始的生死劫难。一次普通拔牙竟引发连锁感染,将她推向窒息、休克边缘。近日,西安交通大学第二附属医院集结胸外科、呼吸与危重症医学科、口腔科、耳鼻喉颈部外科、麻醉科等多学科力量,无缝协作攻坚,成功将她从生死线拽回。
时间倒回入院前,郭女士在当地诊所拔智齿几天后出现颌面部肿胀,并且高热不退,继而肿胀蔓延至颈部,呼吸也逐渐困难,甚至连吞咽都成难题。当地医院无力应对,紧急建议她转往上级医院。
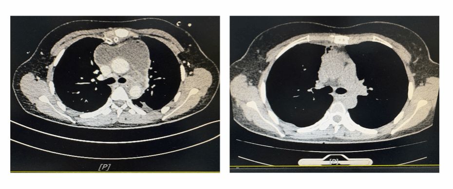
患者及家属遂就诊我院呼吸与危重症医学科,接诊时,郭女士情况危急,颌面部、颈部肿胀明显,张口困难,呼吸急促,考虑拔牙引起的颈部感染。入院后立即完善颈、胸部 CT 检查,结果凶险程度远超预期,不但在她的双侧颌下、颈部间隙形成脓肿,而且脓肿已沿筋膜间隙蔓延至纵隔,在前纵隔形成巨大脓腔,侵及大血管及食管,双侧肺也继发感染,随时可能有生命危险。
呼吸与危重症医学科迅速组织了多学科会诊,胸外科姜建涛主任医师在多学科讨论时严肃指出,“咽后壁及咽旁脓肿位置特殊,紧邻颅脑与胸腔,感染扩散极快。纵隔是心脏、大血管聚集地,一旦引发纵隔脓肿、脓胸,死亡率达 40%-50%;细菌若入血、入颅,还会导致菌血症、脑膜炎,每一步都致命。”
多学科讨论后一致认为,唯有迅速手术,患者还有一线生机!随即多学科团队协商后共同敲定分阶段的手术方案并迅速实施:先由口腔科、耳鼻喉颈部外科团队联手,对颌面及颈部深隙彻底清创引流;随后,胸外科团队接力,在李少民主任医师的指导下,张丹杰副主任医师与徐正水主治医师在胸腔镜下实施纵隔切开引流术,术中成功吸出大量黏稠脓液。最终历经 6 小时手术攻坚后,郭女士平安返回病房。
术后,呼吸与危重症医学科每日冲洗创面,依细菌培养结果调整抗生素;护理团队 24 小时监测生命体征,紧盯病情波动。经精心救治,目前郭女士感染已控制,颌面部、颈部肿胀消退,纵隔脓肿明显吸收,正逐步康复。
“口腔颌面间隙与颅脑、纵隔直接相通,看似不起眼的口腔小感染,一旦扩散就可能酿成致命大祸。” 张丹杰副主任医师特别提醒广大市民,拔牙、根管治疗等口腔侵入性治疗,务必选正规医疗机构;若治疗后出现张口受限、面部肿胀、发热等症状,需第一时间就医,切勿拖延!

图1术后/术前胸部CT对比

图2术后患者恢复良好