电话:029-87679000(总机)
地址:陕西省西安市西五路157号
邮编:710114
网址:www.2yuan.xjtu.edu.cn
2025年10月18日晚11时许,一阵匆忙的脚步声打破了西安交大二附院耳鼻喉科病房的宁静。9岁的兰兰(化名)在父母焦急的陪伴下匆匆赶来,她呼吸急促,不时发出剧烈的咳喘声——就在几小时前,兰兰写作业时习惯性地将自动铅笔咬在嘴里,突然,兰兰开始剧烈呛咳、口唇青紫,妈妈发现,自动铅笔末端的笔帽不翼而飞,推测是被兰兰不小心吸入了气管。
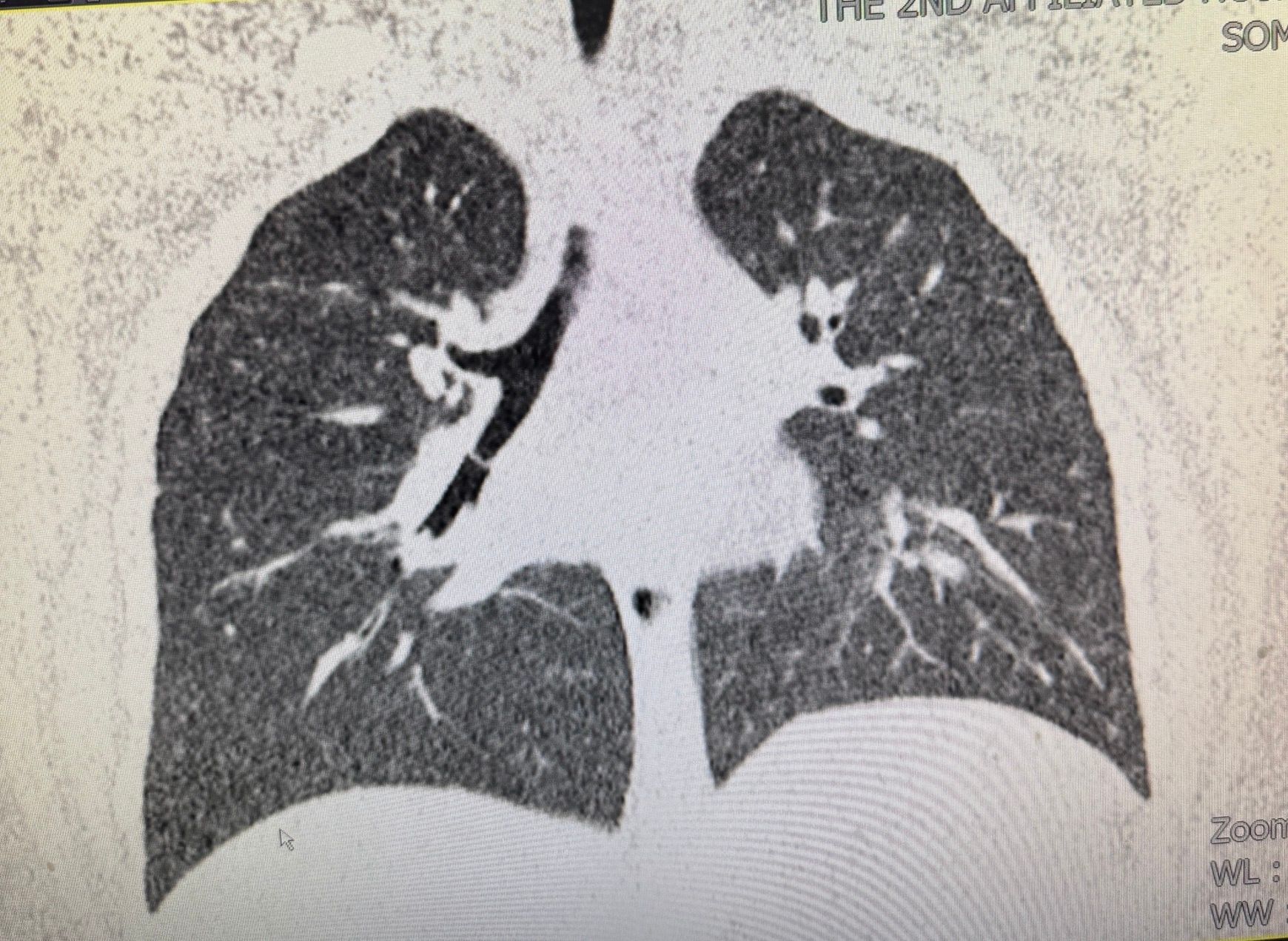
一场与时间赛跑的生命救援就此展开。值班医生张璐瑶、折宁宁立即查看患儿,兰兰呼吸急促,阵发性咳喘,听诊右肺中下叶呼吸音明显减弱,推测为右侧支气管异物。气管三维重建CT证实,一枚圆柱形异物嵌顿于右侧支气管中下叶开口处,伴右肺中叶、下叶肺不张。接到汇报后,耳鼻喉科胡娟副主任迅速组织急救,分析病情:呼吸道异物是我科常见急症,但该患儿吸入的笔帽外壁完全贴合支气管壁,内壁光滑短小,不利于钳夹,且一端完全封闭,造成气道机械性阻塞,支气管腔内负压形成,随呼吸运动负压逐渐加重,不利于笔帽松动向外拉出;因此,经气管镜钳夹异物向外取出的过程较为困难,可能造成张力性气胸或窒息,危及生命。胡娟副主任向家长介绍病情,请家长提供与吸入异物相同的笔帽,以筛选合适器械,模拟手术过程。同时请麻醉科、小儿内科、小儿外科紧急会诊,耳鼻喉科值班团队实施心电监护及吸氧支持,紧急完善各项术前检查。根据家长提供的笔帽,多学科共同制定手术预案,准备不同型号气管镜、异物钳、取石网篮、Nd.Yag激光等,以备在笔帽封闭端或内壁打孔,方便异物钳夹持。



10月19日上午7时,各项准备完善,手术室团队迅速响应。杨希文护士提前备好相关器械,麻醉科赵静、吕俊林、贾蕊繁三位医师为患儿实施高频喷射呼吸机全麻。胡娟副主任顺利置入硬性支气管镜,王波涛主治医师、陈耔辰住院医师密切配合,小儿内科王慧渊主治医师携相关特殊器械严阵以待。术中见笔帽开口向上、嵌顿于右支气管中下叶开口处,周围黏膜充血肿胀,伴有大量黏稠痰液。手术团队沉着应对,在硬性支气管镜下,清理分泌物,松动笔帽外壁与气管内壁,形成狭小空隙,借助高频呼吸机通气减轻负压,以异物钳成功夹持笔帽外壁上口,经支气管腔缓慢取出。取出即刻患儿呼吸改善,术后生命体征平稳,安返病房,次日痊愈出院。

据胡娟副主任介绍,支气管异物多见于3岁以下婴幼儿,多因误吸食物导致,但学龄期儿童亦可能吸入笔帽、口哨、纽扣、玩具零件、乳牙等小物件,成人劳作时口含图钉、零件等习惯也可能造成误吸,针对此类异物的手术方案,需根据患者呼吸状态、生命体征、异物形态性质、停留位置等因素综合决定。西安交通大学第二附属医院耳鼻喉科作为西北地区最早成立的耳鼻咽喉专科,历史悠久,自上世纪70年代起开展小儿气道异物取出术,在各类常见及特殊复杂气道异物诊治方面积累了丰富经验,成功取出数千例各类气管支气管异物,形成显著的诊疗特色与技术优势。尤其针对笔帽、发夹、珍珠、塑料球等特殊异物,自主设计了反张异物钳,创新性采用金属导丝热凝等方法,在国内推广应用。此次特殊异物的成功取出,充分展现了西安交大二院耳鼻喉科在气道异物救治方面的技术水平,及现代医学多学科联合诊疗模式处理疑难危重病例的专业实力。