电话:029-87679000(总机)
地址:陕西省西安市西五路157号
邮编:710114
网址:www.2yuan.xjtu.edu.cn
近日,我院老年普通外科主任王志东教授团队,凭借充分的术前准备、精准的腹腔镜操作技术,连续实施腹腔镜盆腔腹膜后巨大肿瘤切除、腹腔镜胰体尾癌根治性切除+保留脾脏手术(Kimura法)。
腹膜后间隙是人体深部的隐蔽区域,密布着腹主动脉、髂血管、输尿管、腹腔神经丛等重要脏器与神经,被称为外科手术的“高危地带”。此次就诊的50岁患者,因下腹部间断不适,排便次数增多,在当地医院行CT示盆腔占位,慕名来我院就诊。王志东教授团队接诊后,做好充分的术前准备,术前研读影像学资料,精准研判肿瘤浸润范围与解剖关系,找到肿瘤供血血管、避开周围脏器等潜在风险,制定了个性化腹腔镜微创切除方案。


手术当天,麻醉团队实施全麻后,王志东教授手术团队凭借丰富的腔镜操作经验,通过腹部数个“钥匙孔”大小的微小切口建立操作通道,借助腹腔镜高清放大视野,清晰呈现肿瘤与周围血管、输尿管的毗邻关系,用“抽丝剥茧”般的精细手法,运用最新的电外科器械,逐步分离肿瘤滋养血管,精准结扎、剥离,全程规避重要脏器与神经,精准夹闭肿瘤供血血管,有效控制术中出血。经过数小时的精准操作,最终将巨大肿瘤完整切除,术后恢复良好,顺利出院。


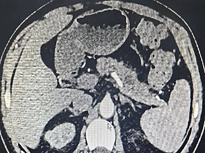
之后王志东教授团队又接诊一名60多岁的反复上腹隐痛来就诊的患者,外院上腹部彩超怀疑胰体尾占位。经腹部增强CT、肿瘤标志物检测及穿刺活检等检查,确诊为胰腺体部中分化腺癌。患者对术后生活质量有较高渴望,要求尽可能保留脾脏,如何在完整切除肿瘤的基础上保留脾脏,成为诊疗团队面临的核心挑战。
胰腺位于人体上腹部的深面,被胃肠、血管等脏器环绕,解剖结构较复杂,而胰体尾部癌因位置特殊,毗邻脾动静脉等重要血管,常常需要联合切除脾脏,而保留脾脏手术难度更是大幅提升。脾脏作为人体重要的免疫器官,承担着免疫防御、造血储血等关键功能,切除后增加术后感染、血小板升高致血栓、术后免疫力下降等并发症风险,影响患者近期、远期的生活质量。王志东教授团队术前反复研读影像学资料,精准评估肿瘤浸润范围、与脾动静脉的毗邻关系,逐一排查术中可能出现大出血、脾梗死、肿瘤残留等潜在风险,敲定个性化腹腔镜微创保脾手术方案,采用“保留脾动静脉的胰体尾切除术”(Kimura法)。


手术当天,麻醉团队完成精准麻醉,为手术全程保驾护航。王志东教授带领团队李运浩博士、金鑫医师,通过腹部5个“钥匙孔”大小的微小切口建立操作通道,借助腹腔镜高清放大视野,清晰呈现胰腺病灶、脾动静脉及周围脏器的解剖结构,精准避开重要血管与神经。手术中,团队如同在“刀尖上跳舞”般,用精细的操作分离胰体尾部与脾脏的粘连,仔细结扎胰腺滋养血管,在确保肿瘤完整切除的前提下,精准保护脾动静脉血供,避免脾脏缺血坏死,全程出血控制精准。经过数小时的精准攻坚,最终成功切除胰腺体尾部病灶,完整保留脾脏,手术顺利,术后恢复良好出院。
科室联合医院多学科团队,连续成功实施腹腔镜盆腔腹膜后巨大肿瘤切除、腹腔镜胰体尾癌根治性切除+保留脾脏手术(Kimura法),践行了“肿瘤根治优先、精准微创、最大限度器官功能保护、术后加速康复”的诊疗理念,标志着科室复杂腹腔肿瘤的腹腔镜手术微创诊疗水平迈上新台阶。