电话:029-87679000(总机)
地址:陕西省西安市西五路157号
邮编:710114
网址:www.2yuan.xjtu.edu.cn
近日,骨一科成功为一例“腰5椎体巨大神经鞘瘤”导致腰5椎体破坏及神经受压患者实施高难度前后联合入路腰椎肿瘤切除人工椎体重建钉棒内固定术。术前在党晓谦主任的全程指导下,樊立宏主任医师、宋启春主治医师通过与工程师多次协商、精密计划,运用3D打印设计手术入路及手术方案,最终决定采用前后联合入路腰椎肿瘤切除人工椎体重建钉棒内固定术。术后患者恢复了腰椎稳定、保留了下肢神经功能。
患者为一名25岁的年轻女性,6月前患者无明显诱因出现腰背部及双下肢疼痛,劳累后加重,休息时可缓解,行膏药贴敷外用后症状无缓解。1月前于外院行“腰椎CT”示“腰5椎体改变,多考虑骨巨细胞瘤,为求进一步诊治遂来我院就诊,在骨一科樊立宏主任医师仔细问诊、阅片后,高度怀疑患者椎体破坏并非骨巨细胞瘤,考虑是巨大神经鞘瘤。入院后复查腰椎CT提示“腰5椎体右侧、椎管及椎旁见不规则团片状软组织密度影,较大截面病变大小约65mm×39mm,团块部分伸入椎管”。通过病人病史、查体、肌电图、穿刺病理活检等一系列辅助检查,最终确诊为神经鞘瘤,考虑为巨大神经鞘瘤导致的腰5椎体骨质破坏伴神经受压。腰5巨大神经鞘瘤位于重要血管、神经密布的下腰椎,肿瘤向前突入骨盆、向后突入椎管。术中彻底切除肿瘤、恢复腰椎稳定性并且避免损伤重要血管神经难度大、风险高。

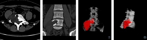
腰椎CT显示腰5椎体严重破坏、软组织突入椎管,考虑为神经源性肿瘤

术前3D打印显示肿瘤与重要血管神经关系紧密,完整切除难度极大
2022年6月13日,党晓谦主任、樊立宏教授带领团队在麻醉科吴刚、赵亚琴团队、普通外科马建仓教授、神经外科王睿智教授、肿瘤病院张寅斌教授及手术室护士的协助下,为患者顺利施行前后联合入路腰椎肿瘤切除人工椎体重建钉棒内固定术。首先,经后入路行L4、L5全椎板减压,术中探查见肿瘤组织包绕、粘连右侧L5神经根近端,约5cm×3cm大小,肿瘤向前内侵蚀L5椎体右侧部分骨质并延伸至腹膜后,与周围组织粘连紧密。后路彻底清除瘤体后残余部分推入前方待从前入路切除,后于L4-S1右侧植入可调式人工椎体并钉棒固定。之后更换体位,于前路行倒“八”字切口逐层暴露,将瘤体与下腔静脉仔细分离完整剥离。经过10个小时的奋战,完整切除神经鞘瘤,植入可调式人工椎体,并避免损伤硬膜囊、下腔动静脉、股神经等重要结构,成功为腰5巨大神经鞘瘤患者实施肿瘤切除腰椎重建手术,术后患者规律戴支具并接受专业康复训练。

术后腰椎正侧位
神经鞘瘤起源于神经鞘膜施万细胞,生长缓慢,腰椎管外、脊神经根的神经鞘瘤较为少见,且早期无特异性症状,如没有相应神经根受损和毗邻器官受压,诊断困难,容易造成误诊、漏诊。外科切除是治疗神经鞘瘤的主要手段,为最大程度暴露切除肿瘤,减少周围神经、血管及脏器损伤,手术方案的选择尤为关键。该患者神经鞘瘤巨大,侵犯椎体、椎管及腹膜后方,单一入路难以彻底清除。本次前后入路联合手术不仅完整彻底切除了患者的肿瘤,有效缓解了患者疼痛,而且保留了下肢神经功能。此次巨大神经鞘瘤切除及腰椎重建手术的成功,展现了西安交通大学第二附属医院骨一科在脊柱骨肿瘤的综合治疗及多学科协同治疗的水平。