电话:029-87679000(总机)

地址:陕西省西安市西五路157号

邮编:710114

网址:www.2yuan.xjtu.edu.cn

国际版| 员工版| 进入旧版|

疫情中的“两颗心”

时间:2022-01-14   作者:心内科范博渊   责编:杜维     来源:     阅读:

“长安区定点医院有一位54岁的男性新冠患者突发急性心肌梗死,需要紧急介入手术,交大二附院团队能否来院手术?”“没有问题!”这是1月13日16时许,西安交大第二附属医院医疗队高登峰教授的铿锵回答。二附院党委书记巩守平第一时间组织心脏介入团队,启动应急预案

时间就是生命!高登峰教授立即启动交大二附院医疗队心梗应急处置流程,由范博渊医生、李婧和徐一涛护师组成的心脏介入应急团队立即赶赴定点医院。在国家感控专家指导下,医院相关部门和市人民医院马泽成技师的协助下很快制定了进出导管室的路线,完成了介入导管室重启开机和急诊术前物品、药品的准备。

图片1_副本.png

图片2_副本.png

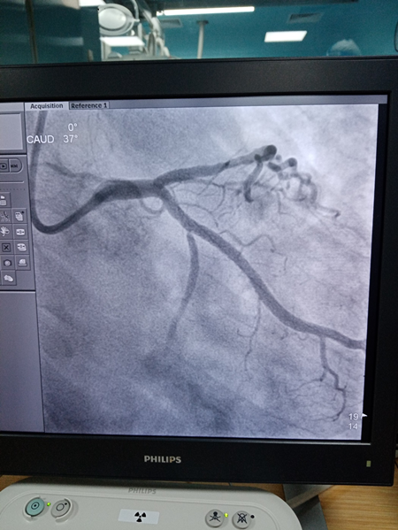
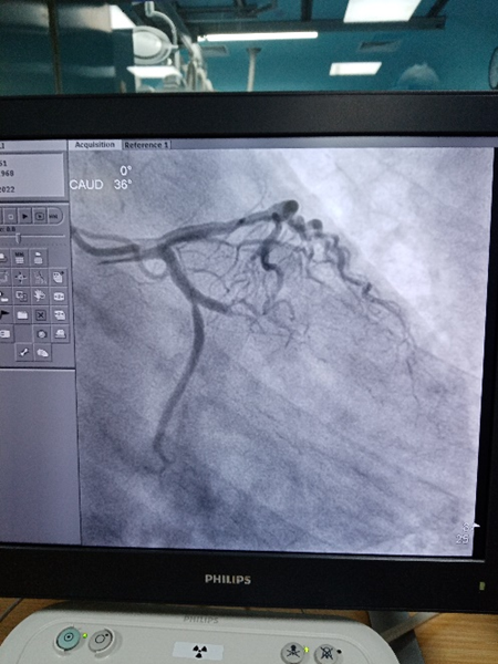
17时30分,患者到达医院,迅速按照预定路线快速送入介入手术室。消毒、铺巾、穿刺、造影。“回旋支堵了!”“来,上EBU导管”“上三件套”“上导丝”,高教授的话音落下,手术室内就显的有些安静了,能清晰听见的声音只有大家忙碌的脚步声和压力泵撤回的“啪啪”声,“导丝过去了,来球囊扩一下……”“好,小范造个影!”“好粗的回旋支啊,上支架!”“上后扩球囊”。在场的所有人员都为患者捏了一把汗。

图片3_副本.png

图片4_副本.png

18时05分,随着压力泵最后“啪”的一声,支架完美的贴靠在了回旋支闭塞的血管病变处,造影剂“划出了”一道靓丽的“风景线”!患者胸闷,胸痛症状明显缓解,生命体征恢复稳定。在场的团队成员舒缓了紧张的心情,患者得救了!

图片5_副本.png

图片6_副本.png

35分钟!35分钟的快速诊断、精准操作、默契配合、高效救治,为患者打通了生命通道!奏响了心与心相连的生命之歌!此时此刻,两颗心都在雀跃,一颗是急性缺血的心脏恢复了平日的节奏,病人迎来了新生;一颗是医疗团队舍生忘死、救死扶伤的医者仁心。

人命至重,有贵千金,一方济之,德逾于此。西安交大二附院142名医疗队员,至此在定点医院与其他医院队员共同战斗了18天,光扬了“大医大义,为生命之光”的医院精神。作为西迁精神新传人,践行了“听党话,跟党走,党叫干啥就干啥,打起行囊就出发!”的爱国奋斗精神。

图片7_副本.png

分享到: