电话:029-87679000(总机)
地址:陕西省西安市西五路157号
邮编:710114
网址:www.2yuan.xjtu.edu.cn
近期,我院心血管病院TAVR团队为一位Type 0型重度钙化的低流速低跨瓣压差重度主动脉瓣狭窄合并重度心衰患者成功实施经皮主动脉瓣置换术(TAVR)。
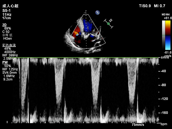
患者男性,61岁,1月余前活动后胸闷、气短,渐进加重伴夜间气喘不能平卧、咯血。曾行胸部CT示:两肺渗出性病变,两肺门增大;双侧胸腔少量积液;心脏彩超示:全心增大,左心为著,升主动脉增宽;左心收缩功能减低,左室后壁及侧壁运动幅度减低;主动脉瓣狭窄(中度);肺动脉高压(中度);冠脉造影示:前降支近中段节段性狭窄伴钙化,狭窄最重60%。曾诊断为“扩张型心肌病”,虽经利尿、逆转心肌重塑等治疗,仍因胸闷、气喘缓解不明显反复住院。心血管病院TAVR团队王新宏副主任医师接诊患者后考虑患者心脏射血分数0.31,存在因心功能差低估主动脉瓣狭窄可能,特请我院B超室韩东刚副教授为患者行小剂量多巴酚丁胺负荷试验:用药前每搏量35ml,Vmax:288cm/s,maxPG 33mmHg,meanPG20mmHg;多巴酚丁胺至15μg/min/kg:每搏量45ml,Vmax:478cm/s,maxPG 91mmHg,meanPG54mmHg,主动脉瓣口面积0.8cm2。患者心衰的罪魁祸首:低流速低跨瓣压差的主动脉瓣重度狭窄。患者心功能极差,如行开胸换瓣手术风险很高,在家属充分信任下决定行经皮主动脉瓣置换术。

为保证手术的安全进行,心血管病院TAVR团队术前进行了详尽准备,郑强荪院长,韩振华主任和王新宏副主任医师详细讨论了病情:患者为Type 0型二叶瓣,瓣叶重度钙化、增厚,且流出道呈喇叭口,考虑远期效果,为避免瓣膜选择过大打开不良造成瓣膜过早衰败,可参看瓣上狭窄结构Downsize选择TAV24瓣膜;患者左右冠瓣融合伴团块状钙化,为避免瓣膜移位及瓣周漏,采取高位释放策略,并在我院首次使用VitaFlow Liberty可回收瓣膜系统必要时回收再次定位释放;患者主动脉瓣无明显反流,心功能极差,术中有循环崩溃可能,术中体外循环湿备;患者双侧股动脉偏细,可考虑主入路外科切开后穿刺。在我院心外科裴斐主任医师、相里伟主治医师,麻醉科李芳主任医师、郑娟住院总医师,超声科韩东刚副主任医师等多学科协助下,王新宏副主任医师、刘小军主治医师等成功为患者植入TAV24mm VitaFlow瓣膜系统,DSA造影显示主动脉瓣位置良好,未见明显瓣周漏,左右冠脉造影正常。复测跨瓣压5mmHg,顺利结束手术。患者术后即可平卧,未诉胸闷、气短等不适,并于术后第三天出院。

主动脉瓣狭窄患者一旦出现呼吸困难、心绞痛或晕厥等严重的临床症状,病情常很快恶化,生存期极大缩短。传统的外科主动脉瓣置换术常因围手术期的并发症和死亡率高令人难以接受,而TAVR手术的出现,成为不能接受外科手术的主动脉瓣狭窄患者最有效的治疗方法。本次TAVR手术取得圆满成功,是我院心血管病院综合实力及多学科合作能力的集中体现,也标志着交大二附院心血管内科在治疗瓣膜病方面迈上新的台阶。希望交大二附院心血管病院能为更多患者带来新的福音。