电话:029-87679000(总机)
地址:陕西省西安市西五路157号
邮编:710114
网址:www.2yuan.xjtu.edu.cn
2021年7月6日,西安交通大学第二附属医院胸外科在李少民主任的带领下,与麻醉科及手术室协作配合,完成了一例高难度纵膈肿瘤切除术。

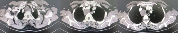
患者曹某某,女,48岁,2年前行胸部CT检查示:右侧颈根部、前上纵隔占位,于当地医院行“右侧颈部纵隔肿瘤探查术”,但因肿瘤“血供丰富,包饶重要脏器”无法切除肿瘤。患者术后出现声音嘶哑,且有颈部肿胀和胸背部等不适症状。后患者在当地医院行介入治疗,但仍无改变,且上述症状加重,出现气管压迫,气短憋气,遂于2021年6月25日来我院胸外科就诊。入院后行胸部CT检查示:胸廓入口处、上纵隔气管右旁可见不规则软组织密度影,病变密度不均,边界欠清晰,大小约6.2cmX3.7cmX3.3cm。鉴于患者症状逐渐加重,病变范围大,位置特殊,经全科讨论并与患者及家属沟通后,决定手术方案为“纵隔肿瘤切除术”。经过充分的术前准备,于2021年7月6日在麻醉科团队先进行全身麻醉后,胸外科李少民主任团队进行手术操作,因二次手术,解剖结构消失,粘连一团,术中仔细游离并显露做无名静脉、头臂干动脉、右颈总动脉、右锁骨下动脉,右颈内静脉、气管及食管等结构,充分暴露术野,完整切除了纵隔肿瘤,以及侵及周围组织,手术过程顺利,历时3小时,术后患者生命体征平稳,拔除气管插管后安全返回胸外科监护室,目前患者病情稳定。

纵隔肿瘤在临床上主要是指在胸膜腔之间生长的肿瘤,纵隔内有多种重要组织与器官,故肿瘤的类型也非常复杂。但因复杂纵隔手术对其他组织器官往往有压迫或侵犯行为,故手术风险较大。临床上复杂纵隔手术较为少见,因医师治疗经验缺乏而容易导致患者术后并发症发生率高。在术前选择手术切口时,要根据肿瘤的自身特 点进行科学的选择,其原则为易于清除、肿瘤暴露良好、干扰小。在手术的过程中,要特别注意切除完全,清扫彻底。本例患者就诊过程中,术前完善术前检查,并经胸外科全体医生讨论制定手术方案,后期在我院麻醉团队、和手术室团队的积极配合和支持下,为手术平稳保驾护航。
复杂纵膈肿瘤是肺外科领域的高精尖手术,国内许多大型综合医院及肺外科专科医院对此项手术的开展较多,特别是北京、上海、广州等国内发达地区,在西北地区开展甚少。交大二附院胸外科将复杂手术推向新高度,日臻完善,为西北地区人民创造更加先进更加完善的医疗就医条件。