电话:029-87679000(总机)
地址:陕西省西安市西五路157号
邮编:710114
网址:www.2yuan.xjtu.edu.cn
近日,干四病区为一名高龄梗阻性黄疸合并肾功能不全者行微创ERCP取石成功,解除了患者的困扰。
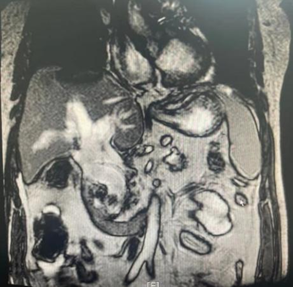
干四(普外四病区)收住一名70岁老年男性梗阻性黄疸患者,患者入院前已经反复高烧两周,多年前做过开腹胆囊切除,胆总管探查手术。肝功显示重度黄疸,合并急性肾功能不全,少尿,肌酐最高达700umol/L。患者年龄大,肝肾功差,如果采取开腹手术系二次胆道手术,难度和风险都很大。入院后虽然第一时间在彩超引导下放置了经皮经肝胆管引流,但引流液过于浓稠,退黄效果不佳,感染逐渐加重,出现了低体温,神志淡漠的休克表现。核磁共振检查显示胆管被直径约2cm的巨大结石完全堵死,胆管内充满高密度物质,病情危重。

干四病区(普外四病区)王志东副主任医师、蒋安副主任医师、黎跃华主治医师快速评估病情后认为患者系急性化脓性梗阻性胆管炎(重症胆管炎)、胆总管结石,合并多器官功能障碍,有休克表现,生命体征不稳,手术风险很大,术后需进入ICU,花费不少。急诊行微创ERCP取石,引流脓液是最好的选择。在消化内科李婵主管护师的安排下,由蒋安副主任医师主刀、梁金强医师密切配合急诊行ERCP手术,发现患者十二指肠乳头开口于肠憩室内,属于较困难的插管类型,但经过短时间调整后插管成功。造影发现胆总管宽约3cm,胆总管内充满粘稠的脓性胆汁,被巨大结石堵塞,单纯引流效果不佳。遂决定尝试尽可能一期取石以解除梗阻,因结石较大难以完整取出,所以先在胆管内将结石破碎,再逐块取出。浓稠的脓液也通过网篮逐步脱出。手术完成后,患者感染迅速控制,未再发烧,黄疸迅速下降,在肾内科会诊治疗下肾功能及精神状态明显改善,目前生命体征良好。
干四病区(普外四病区)蒋安、张健副主任医师在上海东方肝胆外科医院进修学习后,与消化内科密切合作,在我科室开展了胆胰内镜外科方向,发扬ERCP和手术衔接紧密的优势,坚持“一手拿刀一手拿镜”,腔镜内镜协同的发展理念,已经完成ERCP操作200余例,涵盖胆总管结石取石术,胆管癌、胰腺癌支架引流术、胰腺炎胰管取石引流术等主要术式。并在大明宫院区普外科常规开展了ERCP技术,为患者提供有力的医疗保障。