电话:029-87679000(总机)
地址:陕西省西安市西五路157号
邮编:710114
网址:www.2yuan.xjtu.edu.cn
近日,我院神经内科张茹副主任、范清雨医生联合心血管内科副主任蒋伟医生带领介入治疗团队在常规造影中探索创新,为急性脑血管病、心房纤颤患者实施全脑+冠脉造影术,多学科联合诊疗既体现了我院的技术优势,又体现了我院“以患者为中心”的治疗理念,也获得了患者及家属的高度认可。

患者武某,女,75岁,因言语含糊伴右侧肢体无力3小时入院。行头颅CT未见明显出血病灶,颅脑DWI示:左侧额叶及枕叶可见新发病灶。遂以“急性脑血管病”收住神经内科。结合患者病史系统完善检查,既往有“心房纤颤”病史,未使用药物治疗,有“高血压”病史5年余,测最高血压180mmHg,现口服坎地沙坦降压,自诉血压控制尚可。有脑心血管造影检查手术指征,无手术禁忌症,建议患者进行全脑血管造影及冠脉造影术。而完成两个部位造影就意味着要行两次手术,两次手术不仅增加患者的痛苦,还给患者增加了经济负担。急患者之所急,想患者之所想,经过神经内科张茹副主任、范清雨医生和心血管内科蒋伟副主任医生详细讨论并做好全面评估后,共同为患者制定了冠脉造影检查后行全脑血管造影检查的手术方案,既可以明确病情,又可以减少患者痛苦。
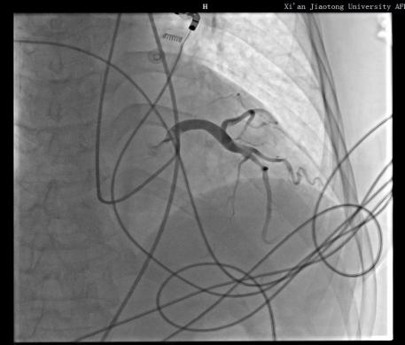
告知患者及家属全脑血管造影及冠脉造影相关手术风险后,家属表示理解并签字同意全脑血管造影及冠脉造影术。手术如期进行,在神经内科导管室为患者实施了“经股动脉行全脑血管造影术+冠状动脉造影术”。手术历时1小时05分,科室之间配合默契,顺利完成此次手术。



此项技术是在脑血管造影基础上同时进行心血管造影,一次穿刺就可以检查“脑”血管和“心”血管,将原本需要两次才能完成的检查一次性完成,不仅减少了患者反复动脉穿刺的痛苦,也极大地缩短了检查时间,降低了检查及治疗费用。此次多学科联合诊疗,制定脑心血管同时造影,为患者寻找出了病因,共同为患者的生命健康保驾护航!