电话:029-87679000(总机)
地址:陕西省西安市西五路157号
邮编:710114
网址:www.2yuan.xjtu.edu.cn

一、西安交通大学第二附属医院召开国家区域医疗中心建设2024年第一季度总结及工作推进会
5月13日,在大明宫院区会议室召开新疆和洛阳两地国家区中建设推进会,西安交通大学党委常委、副校长、医学部主任吕毅、校党委常委、医学部党委书记陈腾、医学部副主任、医管处处长孟晓军及西安交通大学第二附属医院党委书记刘昌、副院长张蓬勃和戴一参加会议,西安交通大学第二附属医院副院长戴一主持。
西安交通大学第二附属医院及项目医院负责人全面回顾国家区域医疗中心项目建设进展,围绕基础设施建设、医疗服务提升、学科专科规划、人才储备、政策支持等方面沟通交流。深入探讨项目推进中的挑战和机遇,明确未来工作方向和目标。刘昌要求新疆医院把握国家(新疆)自由贸易试验区建设机遇,审视面临的挑战,制定有效措施,扎实推进,优质高效落实国家区中建设的目标和任务。吕毅强调,项目医院必须以内涵建设为核心,国家区中建设要求为方向,探索国家区中发展新模式;多举措构建多层次人才培养体系,举办西安交通大学新疆研究生班;西安交通大学附属医院与项目医院形成合力,共同推进国家区域医疗中心项目再上新台阶,为人民群众的健康福祉更好的贡献力量。






二、2024年自治区区域医疗中心现场会在克拉玛依召开
5月24日,由自治区发展和改革委员会、自治区卫生健康委员会主办的2024年自治区区域医疗中心现场会在自治区人民医院克拉玛依医院召开。自治区发改委、卫健委、医保局、地州政府领导及区域医疗中心输出/依托医院代表等参加会议,自治区卫健委主任于爱平主持。会议旨在进一步深化医疗卫生体制改革,推动优质医疗资源下沉和均衡布局,加快推进自治区区域医疗中心建设向好、向优、向新发展,打造全区乃至全国区域医疗中心建设优秀样板。西安交通大学第二附属医院新疆医院党委书记张文峰就项目基本情况、“五平移、五延伸、一融合”发展策略及取得建设成就等方面进行了经验分享。



三、建设策略(五平移、五延伸、一融合)
(一)五平移(科学管理、临床技术、医疗质量、科学研究、教学培训)
1.探索区中微创新管理模式,提升医院运营效率,强化内涵建设
一是运用现代管理理念和管理工具、管理方法、管理技术,建立医院全面质量管理(TQC)、质量环(PDCA循环)、品管圈(QCC)、疾病诊断相关组(DRGs)绩效评价、单病种管理、临床路径管理等科学管理方法。二是基于人的经验管理与基于制度和标准的循证管理相融合,提升医院管理的精细化、信息化、规范化、科学化水平。三是以信息化建设为支撑,持续改进优化门诊及住院流程,提高医疗服务效率,增加患者满意度。四是依托SPD系统平台,规范药耗管控,实施降本增效。

2.建立临床技术平移的长效机制
通过诊疗进展交流会、新技术与新疗法培训班、疑难/死亡病例讨论、技术技巧沙龙等形式,促进临床技术能力提升,推动医疗技术的创新和发展,为人民群众提供安全、高效、满意的医疗服务。




3.加强科研项目过程管理,推动科研成果落地
5月5日,新疆医院召开自治区自然基金标书修审会,医院组织驻疆专家韩捷、西安交通大学第二附属医院专家罗花南、马瑞、樊洪为青年医师顾美君的标书进行修审,对标书的整体架构、观察指标、评价指标、研究方法、研究意义等方面具体提出意见和建议。


5月20日,自治区科技计划项目申报现场答辩评审会在新疆医院会议室举行。邀请驻疆专家史海涛、李维、韩东刚、王益东及新疆医院呼吸与危重症医学科主任陈丽萍、自治区人民医院科教部科长赵阳为评委,评审专家就从项目基金标书的形式要件、创新性等方面提出建议。在驻疆专家指导和帮助下,评出申报项目5项,其中,呼吸与危重症医学科3项、重症医学科1项、放射影像科1项。


呼吸与危重症医学科主任杨拴盈的陕西省科技进步一等奖技术项目,已经完成新疆维吾尔自治区区域协同创新专项(科技援疆计划)《基于新型标记物与影像学的多模态肺结节良恶性诊断模型的建立与研究》申报。
4.建立健全医疗质量考核体系
新疆医院医疗质量管理委员会负责全院医疗质量与安全。医务部负责医疗基础质量检查与考核,质控部门负责医疗环节质量和医疗终末质量的检查与考核,医务部采取定期和不定期的抽查方式进行检查,考核结果全院通报,并与绩效挂钩。
5.探索多层次人才培养模式
5月21日,西安交通大学医学部人才培养处卢阳老师对西安交通大学“同等学力申请博士硕士政策”进行解读,重点讲解新疆研究生班培养的目标和要求,并逐一回答了申报者的提问。


(二) 五延伸(大学附属医院理念、高精尖技术、质控中心、省市级实验室、教育技术)
1.追求卓越、永攀高峰
5月22日,西安交通大学第二附属医院举办“呼吸与危重症医学科名誉主任聘任仪式”暨学科建设专题报告会,新疆医院行政管理部门负责人、学科主任及技术骨干线上参会,郭卉副院长主持报告会。刘昌书记线上致辞,感谢李为民教授莅临指导,医院将给予政策支持,推进呼吸与危重症医学能力提升,共创学科发展新局面。
四川大学华西医院原院长、呼吸和共病研究院院长、教育部长江特岗学者、呼吸和共病全国重点实验室负责人李为民教授进行了“基于临床难点问题的转化研究”的报告,强调转化研究的“六大方略”。


会上,英国利物浦热带医学学院王多劳教授带来题为“如何选择临床研究的设计类型”演讲。


2.提升疑难危重症诊疗水平
5月16日,西安交通大学第二附属医院呼吸与危重症医学科牵头,与新疆医院、洛阳医院开展疑难危重症病例线上讨论会。提出按照疑难危重症的质控标准和要求,不断加强疑难危重症诊疗行为的规范化、标准化、科学化。


3.消化内镜中心完成首例超声内镜引导下细针穿刺活检术
5月8日, 驻疆专家史海涛成功完成新疆医院首例超声内镜引导下细针穿刺活检术(EUS-FNA),标志着新疆医院消化内镜诊疗技术迈上新台阶。




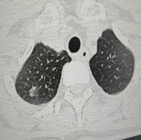
4.新疆医院顺利完成首例胸腔镜下肺叶部分切除术
5月16日,驻疆专家马震川与自治区人民医院专家合作,完成首例胸腔镜下肺叶部分切除术,彰显国家呼吸区域医疗中心在疑难重症治疗方面的技术优势。




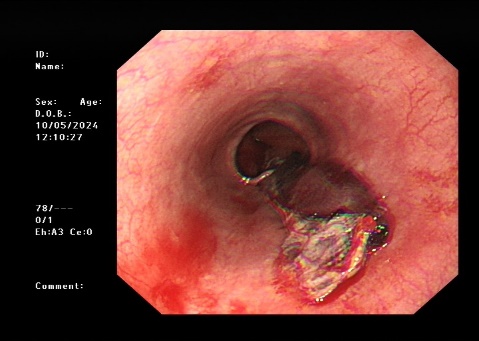
5.新疆医院多学科通力合作,成功救治一名危重症患者
5月9日,在重症医学科副主任驻疆专家王春亚、消化内科驻疆专家史海涛、心血管内科驻疆专家韩捷、麻醉科驻疆专家袁浩峥的全力协作下,成功救治一名反复呕血伴肾衰和高血压的危重症患者,体现新疆医院多学科联合救治能力。


治疗前胃镜检查结果

治疗后胃镜检查结果
6.教育技术延伸,助力人才培养
5月10日,驻疆专家王益东在自治区住院医师规范化培训妇产科专业骨干师资培训班作了《从教学活动指南到住院医师临床需求小讲课设计》讲座,自治区住院医师规范化培训基地的100余名妇产科住培带教老师参加培训。此次培训中,王益东针对住培教师在小讲课教学活动中遇到的困惑,从教学活动指南和住院医师临床需求等角度分析小讲课设计的基本原则、提升策略、效果评估和持续改进措施。


(三)一融合(医院文化)
新疆医院举办“聆听心声,共赢未来”座谈会
5月16日,新疆医院举办以“聆听心声,共赢未来”为主题的护理工作者座谈会。邀请两地(乌鲁木齐、西安)五院(西安交通大学第二附属医院、新疆维吾尔自治区人民医院、西安交通大学第二附属医院新疆医院、自治区经开区第一人民医院、自治区经开区第二人民医院)的护理人员30余人进行交流学习。
第46届南丁格尔奖章获得者、西安交通大学第二附属医院护理部主任杨惠云线上表示,新疆医院开诊试运行是西安交通大学第二附属医院与自治区人民医院通力协作、共同努力的结果;医院党政领导对护理团队的关心、关爱与支持表示诚挚的感谢!今年护士节主题是“发展护理队伍,优化护理服务”,希望新疆医院护理工作者继续强化使命担当,立足岗位,相互帮助,携手共进,为新疆医院建设贡献护理工作者的智慧和力量。


四、辐射带动
新疆医院启动基层医疗服务能力提升行动
5月17日,新疆医院首先从社区卫生服务中心医务人员如何识别急危重症的培训开始,启动基层医疗服务能力提升行动。驻疆专家高彦霞作了“急危重症早期识别”知识讲座,旨在提高基层医疗人员急危重症患者的早期识别能力,确保患者能够得到及时有效救治。新疆医院已经与基层医疗机构建立了会诊、指导、培训、转诊的有效机制。

五、驻疆专家风采
王春亚,西安交通大学第二附属医院呼吸与危重症医学科副主任医师,2023年7月派驻新疆,现任新疆医院重症医学科副主任。

加强年轻医师培养,开展重症诊疗技术。新疆医院开诊前,王春亚副主任医师主要在新疆自治区人民医院呼吸与危重症医学科监护室工作,协助科室开展了床旁血液净化、重症床旁超声、空肠营养管置管等重症诊疗技术,制定年轻医师培养计划,通过技术指导、知识讲座、疑难危重症与死亡病例讨论等形式,提升年轻医师诊疗能力。多次参加院内多学科危重症讨论,曾应邀前往新疆军区总医院会诊一名发病5月诊断仍未明确的危重症患者,提出诊疗意见,最终患者得以明确诊断,并接受目标性治疗。


筹建重症医学科,制定学科发展规划。新疆医院开诊后,王春亚副主任医师受聘为重症医学科副主任,带领科室成员组建ICU,制定学科建设和人才培养规划,稳步推进各项工作。截至目前,已成功救治危重症患者30余名。多次参加全院多学科联合会诊,为疑难危重症诊疗提供有力支撑。


加强科普宣教,强化预防为主。2023年11月全国多地气温骤降,呼吸道传染病骤增,在我院呼吸科微信公众号发表科普文章,指导大家在降温季防止呼吸道疾病有效措施。2024年1月份在乌鲁木齐电视台健康来了栏目做了题为“冬季呼吸系统高发疾病的防治”的专题访谈,指导广大观众如何在冬季预防呼吸系统疾病的发生、居家处理及就医时机等,录制小视频指导心血管基础疾病的患者出现呼吸系统疾病时如何正确用药。


优质医疗资源下沉。王春亚副主任医师多次参加医院组织的下社区义诊活动,指导呼吸系统基础疾病的患者进行家庭康复及正确用药,出现什么症状应及时就医,与患者建立了良好互动联系。

