电话:029-87679000(总机)
地址:陕西省西安市西五路157号
邮编:710114
网址:www.2yuan.xjtu.edu.cn
随着关节置换手术的广泛开展,机器人辅助关节置换手术以其精准、微创、快速康复等诸多优势,成为关节外科领域的技术研究热点。据统计,2024年4月,我院骨科中心关节与足踝病区在此领域取得了令人瞩目的成就,单月完成机器人辅助关节置换手术量创下了历史新高,标志着我们在骨科手术治疗方面迈出了坚实的步伐,为更多关节疾病患者带来了福音。这一成就不仅是科室医护团队共同努力的结果,也是医院领导和社会各界支持的结果。
机器人辅助关节置换术利用先进的机器人系统,结合医生的经验和判断,为关节置换手术提供了更高的精度和更小的创伤。在王坤正教授和杨佩教授的领导下,我科室作为国内最早开展机器人辅助关节置换手术的关节中心之一,一直紧跟医学科技前沿,积极引进最新技术,造福不幸罹患关节疾病的患者。
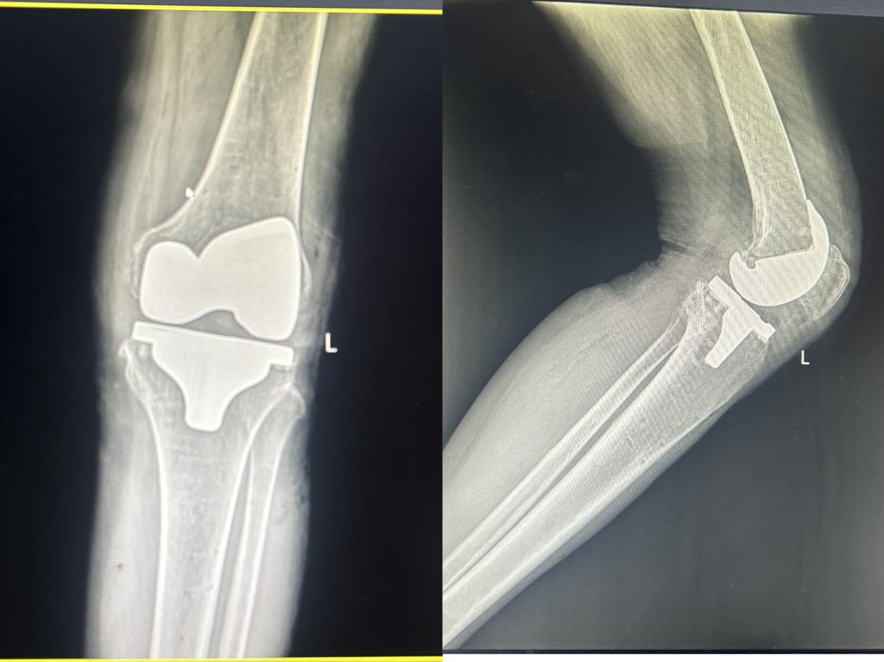
一位长期受膝关节疼痛困扰的中年女性,日常无法正常生活。经过王坤正教授、杨佩教授团队详细的检查和诊断,确定该患者需要进行膝关节置换术以缓解疼痛并恢复关节功能。在手术过程中,我们采用了先进的MAKO机器人辅助技术。首先,通过CT扫描获取患者的膝关节三维数据,为机器人提供精确的骨骼模型。随后,医生在机器人的辅助下,制定了个性化的手术方案,并精确控制了手术过程中的截骨和假体植入等操作。手术过程顺利,术后患者疼痛明显减轻,关节功能得到显著改善。经过一段时间的康复锻炼,患者已经能够正常行走,生活质量得到了极大的提升。


在过去的一个月里,我科室的医护人员团结协作,克服各种困难,成功完成了多台机器人辅助关节置换术。这些手术涉及全髋关节置换、膝关节置换等多个领域,涵盖了不同年龄、不同病情的患者。通过机器人辅助,手术操作更加精准、快速,患者的术后恢复也更为顺利。
值得一提的是,我科室在机器人辅助关节置换术方面的技术创新和临床应用取得了显著成效。医护团队在手术过程中充分发挥了机器人的优势,结合自身的专业知识和经验,为患者制定了个性化的手术方案。同时,我们还积极总结经验,不断完善手术流程和技巧,为今后的工作奠定了坚实的基础。
未来,我科室将继续在机器人辅助关节置换术领域深入探索和研究,推动该技术的不断创新和发展。我们相信,在医学科技的不断进步和医护人员的共同努力下,关节置换手术将更加精准、安全、高效,为更多患者带来健康和幸福。
此次创纪录的手术量,不仅彰显了我科室在机器人辅助关节置换术领域的实力和成果,也体现了我们对患者需求的深度理解和积极回应。我们深知,每一位患者都期待得到最好的治疗,每一位患者都值得拥有健康的生活。因此,我们将继续致力于提升医疗技术和服务水平,让每一位患者都能在我们的精心治疗下,重拾生活的信心和活力。
我们将继续秉承“以患者为中心”的理念,不断提升医疗技术和服务水平,为更多关节疾病患者带来健康和幸福。同时,我们也期待与更多的同仁携手共进,共同推动骨科医疗事业的发展!