电话:029-87679000(总机)
地址:陕西省西安市西五路157号
邮编:710114
网址:www.2yuan.xjtu.edu.cn
近日,我院普外4病区(干四病区)为一名40多岁的男青年成功实施腹腔镜下类似“葫芦娃”形状的罕见巨大腹膜后肿瘤切除术,现患者术后已顺利康复,即将择期出院。
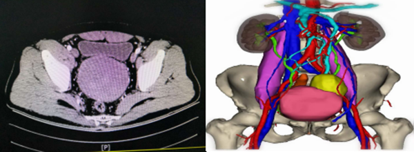
该患者于近期在某医院查体时无意中发现腹膜后约13cm巨大肿瘤,就诊医院因肿瘤大,风险大,建议开腹手术。患者因开腹手术风险大,创伤大,恢复慢,为求微创手术治疗转入我院。入院后常规的增强CT、核磁共振等影像学检查发现肿瘤位于腹腔和盆腔腹膜后,被膀胱、前列腺、精囊腺、直肠、输尿管等盆腔脏器以及肠系膜动静脉、髂内动静脉等大血管包绕,并且之间的关系比较密切,手术切除难度大,术中稍有不慎就可能损伤血管造成致命性大出血,损伤盆腔脏器造成肠瘘、尿瘘等并发症,同时面临可能切除部分前列腺的可能性,影响生活质量。王志东副教授带领医疗小组查房后建议患者术前进行最新的术前3D成像,用三维立体、动态而精准的方法明确腹膜后肿瘤与腹盆腔脏器、盆腔重要血管之间的关系,让肿瘤真身彻底现形,做到术前精准评估,以大大降低手术风险。
术前按流程进行3D成像后,让腹膜后肿瘤彻底现形, 13cmX9cmX8cm大小,呈现出典型的“葫芦娃”形状,头小身子大,但并未侵犯膀胱、前列腺、精囊腺、直肠、输尿管,与肠系膜动静脉、髂内动静脉之间有一定的间隙和界限,滋养血管来自于肿瘤周边的小血管,非常适合进行微创腹腔镜手术切除。术前用3D成像认真讲解肿瘤情况、与周围的关系、手术路径等后,病人和家属紧张焦虑的心情缓解了许多,思想包袱也放了下来。术前充分与患者及家属进行知情同意后,经积极完善周密的术前讨论和准备后,在麻醉科和手术室的大力协作下,2020年于9月4日上午由王志东副教授主刀,在黎跃华主治医师、侯乐医师协助下,成功实施腹腔镜微创“葫芦娃”切除术。术中探查的情况与术前3D成像预计基本相同:“葫芦娃”形状肿瘤位于腹盆腔腹膜后,13cmX9cmX8cm大小,包膜完整,与膀胱、前列腺、直肠、输尿管等盆腔脏器界限较为清楚,提起显露肿瘤与肠系膜动静脉、髂内动静脉之间有一定的间隙,肿瘤供血血管来自周边细小血管,超声刀完全可以切除凝闭血管,做到完整切除肿瘤。术中仔细分离、结扎肿瘤滋养血管,保护好生命攸关的各个血管、脏器、神经,在没有损伤周围脏器、未输血的情况下将肿瘤完整切除,腹部左下方取小切口完整取出肿瘤,手术获得成功,术中出血约100ml,手术顺利,切下来的“葫芦娃”与3D成像模型几乎完全吻合(如下图所示)。患者术后恢复良好,达到了快速康复治疗的目的,即将痊愈出院,达到了预期效果。


据王志东副教授介绍,人体腹膜后间隙空间大,腹膜后肿瘤可以“自由生长”而长得巨大,且常常无症状,也不影响日常的工作生活,常依靠体检时无意中发现。术前使用一般的检查手段如增强CT、盆腔MR等都属于二维平面成像,有其局限性,难以全面了解肿瘤对周围脏器和重要血管之间的关系,容易低估手术风险,这也给手术带来了不确定性,增大了手术风险。腹膜后间隙是重要血管、神经、脏器所在部位,手术难度大,风险高,术中易造成重要腹腔和盆腔脏器如肾脏、脾脏、胰腺、直肠、前列腺、输尿管等损伤、神经丛损伤影响功能,大血管损伤引起大出血休克等严重并发症。因此除了要求术者具有丰富的手术经验,熟练掌握腹膜后解剖、生理、病理变化等,术前应用最先进的3D成像技术,精准的了解腹膜后肿瘤与周围脏器和重要血管之间的关系,规划科学的手术方式、手术路径,进行模拟手术切除也十分重要。这样不仅能大大降低手术风险,还可以显著提高微创手术的成功率,促进加速康复外科的发展,使得精准医学由理论转化为临床实践。该例手术的成功,显示出迅速发展的精准医学理念给复杂腹腔肿瘤患者进行微创手术治疗带来了福音,也彰显了我院先进的理念和技术水平。