电话:029-87679000(总机)
地址:陕西省西安市西五路157号
邮编:710114
网址:www.2yuan.xjtu.edu.cn
五一假期,西安交通大学第二附属医院呼吸与危重症医学科医护团队成功救治一名从基层医院转至我院的重症病毒性肺炎、系统性红斑狼疮患者,挽救了一位两个孩子的母亲,谱写了一曲生命的赞歌!
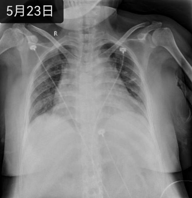
4月的最后一天深夜,呼吸与危重症医学科杨拴盈主任接到来自陕北基层医院的求助电话,希望转诊一名35岁女性患者。该患者既往患有系统性红斑狼疮,曾因狼疮脑病和狼疮肾炎进行激素冲击治疗,长期服用激素和免疫抑制剂,已出现药物相关严重不良反应。更为致命的是2天前患者感染了甲型流感病毒,导致病毒性肺炎,呼吸困难迅速进展,胸片显示双侧“白肺”,属于免疫抑制宿主重症肺炎、ARDS。了解病情后,杨拴盈主任迅速安排RICU医护人员为患者开通绿色通道,准备床单元和呼吸机,患者于深夜紧急送入RICU病房。入院后明宗娟教授、单虎、马玉婉医生立即组织抢救,给予气管插管、镇静镇痛肌松、有创机械通气支持,但彻夜的奋战没能换来病情的平稳,纯氧呼吸支持下指脉氧不足50%,酸中毒难以纠正,呼吸机参数已无调整空间,监护仪持续报警,血气分析的二氧化碳分压一路飙升,患者呼吸循环功能处于崩溃边缘,生命垂危。
综合判断病情后,方萍教授当机立断,迅速联和急诊ECMO团队启动VV-ECMO治疗,刘丽萍副护士长立即召集ECMO护理小组成员放弃休假归队。医护争分夺秒,默契配合,只为与死神赛跑。当暗红色血液经过“膜肺”氧合后变成鲜红色,源源不断重返患者体内,患者生命体征逐渐平稳,ECMO的建立为心肺功能恢复赢得了时间。随后,RICU医护团队通过床旁气管镜、床旁超声、一氧化氮吸入、EIT、无创、有创血流动力学监测等技术实时精准评估和管理患者,制定了包括ECMO管理、呼吸支持、气道保护、容量管理、出凝血管理、感染与免疫、院感防控、镇痛镇静、营养支持和呼吸康复在内的一系列个体化精准诊疗方案,同时组织了包括呼吸、风湿免疫、急诊、重症、检验、药学等相关科室的数次MDT。经过14天ECMO支持、21天气管插管有创机械通气以及针对原发病的积极救治,患者最终转危为安,于入院后第27天顺利转回当地医院康复治疗。


该患者的成功救治体现了ECMO在危重症患者救治中的重要地位,展现了西安交大二院医护无私奉献的精神风貌和高超的急危重症救治水平,充分发挥了我院多学科联动、团队协作的优势,切实推进分级诊疗、双向转诊制度落实。在五一国际劳动节这个特殊的假期,二附院的医护们一如既往地用实际行动践行救死扶伤的誓言!
