电话:029-87679000(总机)
地址:陕西省西安市西五路157号
邮编:710114
网址:www.2yuan.xjtu.edu.cn
近日,我院普通外科肝胆胰外科陆宏伟教授团队联合消化内科戴社教教授团队成功为一例老年巨大肝癌患者实施了转化治疗后的精准肝段切除术,术后患者康复顺利。

MDT讨论
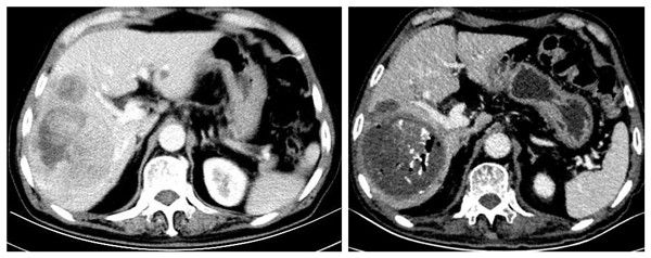
患者为69岁的老年男性,因“消瘦和腹部不适”于我院消化内科就诊,影像学提示“原发性肝癌”,肿瘤位于右半肝, CNLC分期 Ⅲa期。经我院肝癌多学科诊疗团队(MDT)评估,考虑患者肿瘤体积大且肝功能不佳,决定先行一期经肝动脉化疗栓塞(TACE)联合索拉非尼转化治疗,待肿瘤体积缩小后再进行二期手术治疗。一期TACE联合索拉非尼治疗由消化内科戴社教教授和袁佳主治医师完成。治疗后肿瘤体积明显缩小,坏死面积80%以上,达到影像学部分缓解,为行二期手术治疗转入普通外科陆宏伟教授组。

TACE术前 TACE术后
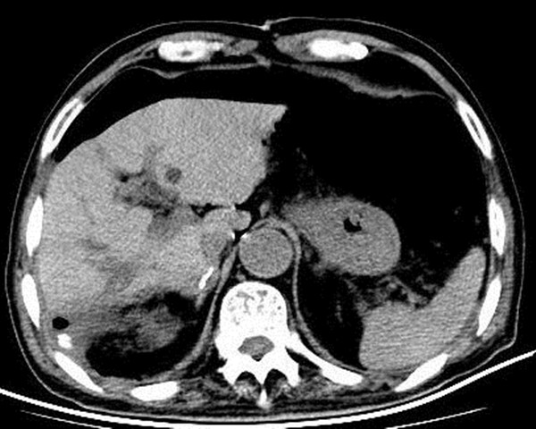
术前经过系统评估,患者存在肝硬化,肝功能属Child B级且ICGR15 20%,考虑到肿瘤的根治性,规则性肝切除是首选手术方案。术前三维重建提示若行右半肝切除,剩余肝体积仅占标准肝体积的36%,患者手术耐受性极差,术后肝功能衰竭风险极高。面对患者及家属无助的眼神,陆宏伟教授团队毅然接受了这次挑战。为了保证手术安全,决定先行保肝一周观察,在一周的保肝治疗后患者肝功能状况出现明显好转,评估达Child A级,但考虑到ICGR15仅为20%,按照右半肝切除其剩余肝体积应占标准肝体积的至少60%,术后肝衰风险仍然极高。陆宏伟教授团队展开详细术前小组讨论,在影像学评估的基础上,结合苏黎世大学和东京大学的肝切除限量标准,最终决定行解剖性的肝段切除,即Ⅵ、Ⅶ段和Ⅴd、Ⅷd亚段切除。术中在麻醉团队张晓琴教授、李伟教授和杨毅猛主治医师的保驾护航和手术室郭宁护师和刘儒忠护士的精密配合下,行经超声引导精准目标肝段切除。手术历时4小时,术中出血约300ml,术后未出现小肝综合征等肝功能不全表现,目前患者病情平稳,康复顺利,拟近期出院。

术前3D评估 手术示意图

手术后
陆宏伟教授表示,任何形式的治疗都只是手段而不是目的,MDT模式可量体裁衣式地为肝胆肿瘤疑难病例提供个体化系统治疗方案,实现彻底的病灶清楚、最小的损伤控制和极限的肝胆保护。近年来转化治疗模式的兴起,将会给肝胆肿瘤患者带来更多的希望和福祉。