电话:029-87679000(总机)
地址:陕西省西安市西五路157号
邮编:710114
网址:www.2yuan.xjtu.edu.cn
近日,病理科开展了一项新的免疫细胞染色技术--p16/Ki-67细胞学双染检测技术。该技术对宫颈病变的诊断具有高特异性和灵敏度,尤其适用于宫颈癌和宫颈上皮内瘤变的诊断和精确分层管理及早期干预。
P16代偿性过表达预示细胞周期调控异常,已经证实高危型HPV阳性的宫颈癌和癌前病变中均发现p16基因过表达与肿瘤的性质和HPV感染密切相关,是唯一有足够的临床研究数据证实其可用于宫颈癌前病变诊断的生物标志物。Ki67阳性预示细胞具有增殖活性,正常功能的细胞中P16与Ki67应相互排斥,因此,p16/Ki-67双阳性提示细胞功能失调,强烈提示高级别病变细胞,可判读为肿瘤细胞。
宫颈癌是世界范围内女性第四大常见恶性肿瘤,是我国发病第二位的女性生殖系统肿瘤。目前研究已证实,HPV感染是宫颈癌发病的p16/Ki-67首要病因。高危型HPV持续感染引起宫颈鳞状上皮内病变(CIN),最终进展为宫颈癌。若不加干预,这个过程大约为8-10年,这期间通过早期筛查、早期发现、及时干预可有效防治最终进展为宫颈癌。
p16/Ki-67细胞学双染在宫颈细胞学检查中有以下意义:显著提高宫颈癌前病变检出率和敏感性,较以前普通宫颈细胞涂片准确性更高,降低漏诊率,减少过度诊断;能更早发现潜在高级版病变,具有更好的阳性预测值;对ASC-US、LSIL、HPV初筛后患者准确分流,减少不必要的阴道镜转诊,对患者进行精确分层管理及早期干预--p16/Ki-67双染阳性患者强烈提示CIN2+病变,需立即行阴道镜检查;p16/Ki-67双染阴性患者3年内发生CIN3+病变风险低于细胞学未见上皮内病变或恶性病变(NILM)患者,可一年后复查,不需阴道镜检查,减少不必要的检查和治疗。

图1 p16/Ki-67细胞学双染对ASC-US、LSIL、HPV初筛后患者分流示意图

图2 p16/Ki-6双染阴性,可随访,不需转诊阴道镜检查

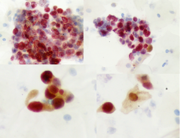
图3 p16/Ki-67双染阳性提示高级别病变,需转诊阴道镜检查(活检证实为CIN2累腺)
此外,由于P16在多种肿瘤中可出现代偿性升高,对于恶性肿瘤而言具有显著的广谱性特征和较高的阳性率(>70%的各型恶性肿瘤均出现p16蛋白的代偿性高表达),p16/Ki-67双染技术也可用于胸腹水样本的筛查,阳性提示细胞功能失调,具有肿瘤细胞特性,对早期筛查胸腹水中发现肿瘤细胞具有较好的提示作用。广大医生及患者朋友可根据患者情况选择p16/Ki-67双染辅助诊断。