电话:029-87679000(总机)
地址:陕西省西安市西五路157号
邮编:710114
网址:www.2yuan.xjtu.edu.cn
3月18日,我院心内科团队在科主任郑强荪教授带领下再次成功为一例严重心衰、反复室速患者实施改良心脏再同步复律除颤器(CRT-D)植入术,标志着我院心内科团队在心衰救治方面迈入世界前列。
心力衰竭是各种心血管疾病发展的严重阶段和终末阶段,这类患者常因恶性心律失常而猝死或心衰加重死亡,药物治疗最终很难取得满意效果,CRT/CRT-D植入成为患者获得重生的另一选择。传统CRT-D是通过双心室同步起搏,恢复心脏的电机械同步收缩,从而增强心脏泵血功能,改善心力衰竭症状,同时自动复律除颤器(ICD)能有效地预防由于室速或室颤导致的心脏性猝死。改良CRT-D是通过实施左束支区域起搏夺获左心室的浦肯野纤维,引起左心室同步激动,代替传统的左室电极植入,从而改善患者心功能。左束支区域起搏已在近期多个国内国际的临床研究中证实可作为左室导线植入失败及传统CRT植入无反应患者的备用选择,与传统左室电极植入的CRT植入方法具有异曲同工之效。
患者男,47岁,因“气短3年余,加重伴反复晕厥1天”之主诉入院。患者3年前曾因三度房室传导阻滞植入双腔起搏器,后出现反复心衰、反复室速,心脏彩超提示全心增大EF值0.23,心电图提示心房心室起搏心律,QRS210ms(见下图),曾辗转北京多家医院。最后在郑强荪教授带领的团队精心治疗下,当患者心功能相对稳定时,为患者全麻下实施CRTD植入。
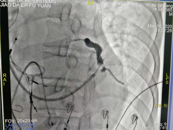
团队术前缜密讨论,充分考虑多个结局,多种策略。手术由郑强荪主任,韩振华副主任,薛嘉虹副教授,王新宏副教授及导管室护士王军、杨宏斌共同完成。团队先为患者行左心室电极植入冠状静脉窦的经典CRTD,但患者冠状静脉窦分支条件较差,左侧后支迂曲盘旋,给操作带来极大的困难,经多次尝试左室电极仍不能植入成功,郑强荪主任、韩振华副主任带领的团队迅速改变策略,与时俱进,决定行左束支区域起搏。另外患者在拔除原右室电极时又因电极与上腔静脉入口处粘连拔除困难,再次为手术带来障碍,最终经团队6小时的不懈努力,手术顺利完成。术后心电图QRS波群由原来的210ms缩窄为160ms,患者心功能明显改善。
以左束支区域起搏代替传统左心室电极植入的改良CRT-D是传统CRT-D植入技术的创新,无论从技术层面还是理念层面,我院心内科的积极开展都代表我院起搏器植入技术与时俱进,与世界同步。

术中冠状静脉窦造影

术前心电图

术中左束支起搏

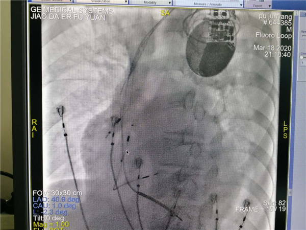
术后起搏器留影

术后心电图