电话:029-87679000(总机)
地址:陕西省西安市西五路157号
邮编:710114
网址:www.2yuan.xjtu.edu.cn
深夜生命保卫战——多学科团队成功抢救A型主动脉夹层患者
夜晚当城市陷入沉睡,西安交大二附院心血管病院手术室的灯光依然通明。一场与死神赛跑的抢救手术正在紧张进行——一名69岁的急性A型主动脉夹层患者命悬一线。经过心血管外科、体外循环团队、心内科、麻醉科、输血科、手术室等十余位医护人员8小时的彻夜奋战,最终成功拆除患者体内的"不定时炸弹",创造了生命奇迹。
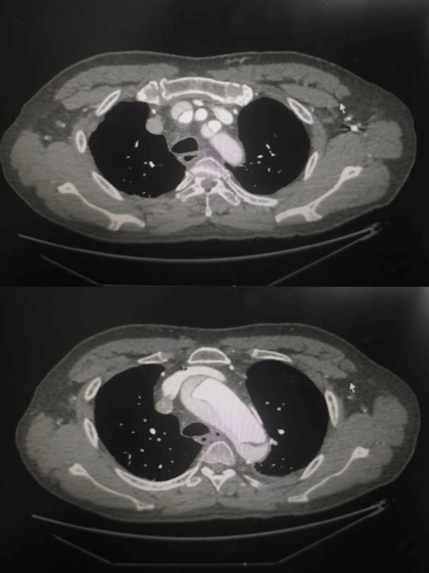
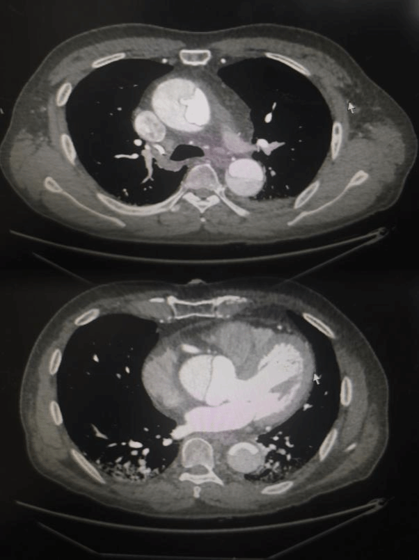
患者韩先生下午突发胸背部剧烈疼痛,呈撕裂样,当地医院处理后仍不能缓解,遂紧急送至西安交大二附院心血管病院。心内科张岩教授凭着丰富的临床经验,收入院后立即行急诊主动脉CTA检查,确诊为"Stanford A型主动脉夹层",血管内膜撕裂已延伸至升主动脉,随时可能破裂导致猝死。"这类患者48小时内死亡率超过50%,必须立即手术!"遂转入心血管外科。心血管病院副院长高峰教授迅速集结心外科团队,并紧急联系麻醉科、手术室、输血科等相关科室,在多学科联动下,成功启动"绿色生命通道"。凌晨12点紧急为患者进行了主动脉瓣成型+升主动脉置换+Sun’s手术。清晨7点,随着体外循环机缓缓停机,患者心脏重新有力跳动。术后转入心脏重症监护室,第二天即拔除气管插管,术后第四天转入普通病房。
这场深夜的生命接力,展现了交大二附院心血管病院对于急危重症心脏病人的快速响应能力和精湛技术。24小时待命的"主动脉夹层急救团队",全年无休守护着心脏病患者生命健康最后的防线。



高峰教授给大家敲响警钟:主动脉夹层是一类发病急、风险性极大的大血管疾病,突发撕裂样胸背痛、双侧血压差异>20mmHg,夹层累及颈动脉时会伴有意识改变,常见于有高血压病的患者。一旦发病,必须立即拨打120!每延误1小时,死亡率增加1%。
西安交大二附院心血管外科常规开展各种先心病介入手术、微创心脏瓣膜手术、心脏搭桥手术、大血管及外周血管外科手术及介入手术。如遇此类情况,请尽快拨打029-86320450。
高峰主任门诊时间:周一上午(北大街院区门诊3层A区7诊室),周二全天(大明宫院区门诊2层心血管外科诊室)
裴斐主任医师门诊时间:周四上午(北大街院区门诊3层A区7诊室),周一全天(大明宫院区门诊2层心血管外科诊室)