电话:029-87679000(总机)
地址:陕西省西安市西五路157号
邮编:710114
网址:www.2yuan.xjtu.edu.cn




现代微创神经外科的飞速发展,离不开影像学技术的进步和多种高、精、尖技术设备的发明和应用,神经导航系统就是其中之一。颅脑深部尤其脑干、丘脑、基底节区的病变的准确定位一直是个难题,于是,术中导航技术应运而生。
本世纪八十年代后期,神经外科医师、影像学专家和计算机学者通过多学科交叉合作,成功设计并研发了“神经外科显微手术导航系统”(Neurosurgical Microscopic Navigation System)。该系统应用计算机图形图像技术处理放射影像学(CT、MR、DSA、PET等)资料,重建二维或三维医学图像模型,帮助手术医生在术前、术中进行手术操作虚拟演示,规划手术入路,突破了现有手术器械和辅助设备的制约,帮助术者完成针对深部神经组织的一系列复杂而精细的操作,将病变周围正常神经血管结构的不必要损伤减少到最低程度。
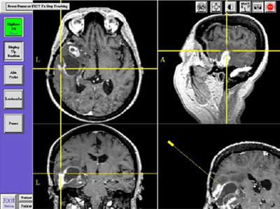
近日,我院神经外科引进的美国COMPASS Cygnus电磁导航系统安装到位,并已投入临床使用,这是国内第三台,也是西北地区第一台投入使用的电磁导航系统。
电磁导航为最新研发的第三代导航系统,相对于以往光学导航系统体积庞大、设备笨重、视觉阻挡等不利因素,电磁导航的优势集中在:1)体积小巧,移动方便,有便携性:这一特性大大缓解了手术室空间不足的局面,利于各手术室设备共用;2)无视觉阻挡:导航工作所需空间较少,不需要抬升或移动显微镜等其他设备,一定程度上可以说“感觉不到导航的存在”;3)不需要参考环:电磁导航由于设计理念进步,降低系统性影像漂移的发生率,误差较小;4)导航精确平均影像匹配误差仅1.54mm:精确性较前大大提高;5)设备兼容性良好:其直流磁场范围仅覆盖术野周围,不影响术中应用的其他设备的正常使用。
术中导航系统可用于:颅内各种占位病变(包括肿瘤、囊肿、脓肿等)、脑血管畸形、癫痫、经蝶窦垂体肿物切除、颅底肿瘤、畸形(软组织或骨性)、颅内取异物、活检或引流、脑室镜手术等。
文:神经外科 郭振宇
图:神经外科
责编:兰璐