电话:029-87679000(总机)
地址:陕西省西安市西五路157号
邮编:710114
网址:www.2yuan.xjtu.edu.cn
运动医学与小儿骨科病区柏传毅教授团队成功为一位92岁的腰椎滑脱、腰椎间盘突出合并腰椎管狭窄、退变性侧凸患者实施了微创小通道下减压固定融合手术,术后患者疼痛迅速减轻,术后5天下地行走及活动,老人重新过上了久违的正常生活。
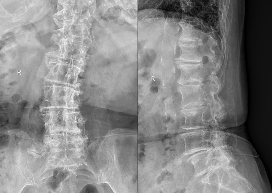
患者郭某某,实际年龄92岁,女性,2月前无明显诱因出现腰痛,双下肢放射痛,逐渐无法行走,症状逐渐加剧,为求进一步诊治,来我院就诊。经柏传毅教授仔细的问诊及查体,结合X线、磁共振等影像学检查,诊断“腰椎滑脱、椎间盘突出合并椎管狭窄,退变性侧凸”。患者入院时腰部疼痛剧烈,双下肢放射痛,无法下地行走,只能卧床,且基础情况病多,既往患有心脏病及糖尿病,长期卧床容易诱发下肢静脉血栓甚至肺动脉栓塞从而危及生命。

患者入院后经过全面的检查和多学科会诊,积极术前准备,柏传毅教授和党晓谦主任、时志斌主任讨论后决定采用全麻脊柱微创通道下为患者行椎间盘髓核摘除,椎管扩大,融合器植入椎弓根固定手术,使患者尽早恢复下地行走及日常活动,减少卧床引起诸多的并发症。11月15日在麻醉科张晓琴教授麻醉后,使用脊柱微创通道完成了髓核摘除椎管减压固定手术,顺利完成。术后5天患者下地活动,疼痛明显减轻,患者逐渐恢复正常生活。

腰椎滑脱、椎间盘突出合并椎管狭窄、脊柱侧凸是复杂的腰椎退行性疾病,对于高龄患者常规手速治疗因手术创伤大,失血多,手术时间长,风险高,医生往往无法手术,患者只能采用效果差的传统保守治疗,患者长期卧床,常导致坠积性肺炎、下肢静脉血栓等严重并发症,症状缓解不明显,药物治疗带来副作用。微创手术针对不同的病情,可以局部麻醉和全麻下进行,创伤小,对患者全身情况干扰小,手术时间短,手术出血少,患者术后疼痛减缓明显,能较快下地行走,具有微创、快速康复、并发症少且效果好等优点。
运动医学与小儿骨科病区柏传毅教授团队开展多种脊柱微创手术治疗,应用于临床常见的脊柱退行性改变、椎间盘突出、椎管狭窄、脊柱骨折等临床常见病治疗,近期开展微创手术并结合机器人新技术,取得良好的临床效果,脊柱微创手术使以往束手无措的高龄患者可以得到完善的治疗,改善生活状态,延长寿命。