电话:029-87679000(总机)
地址:陕西省西安市西五路157号
邮编:710114
网址:www.2yuan.xjtu.edu.cn
近日,西安交大二附院骨二科(脊柱外科)应用脊柱内镜微创技术,为一名神经根型颈椎病患者实施了Key-hole手术,困扰患者多年的颈项部及上肢抽痛、麻木症状,术后立刻消失。
神经根型颈椎病是一种十分常见的疾病,大多数患者经过保守治疗,症状能够得到缓解,但是仍有许多患者保守治疗无效,病情反复发作,严重影响了日常生活及工作。对于这类患者以往均采用开放手术治疗,具有创伤大、出血多、费用高、手术需要行脊柱融合,术后容易引起相邻阶段椎间盘退变、颈项部轴向疼痛等一系列问题。近年来,随着脊柱内镜技术的发展,脊柱内镜下行Key-hole术治疗神经根型颈椎病及部分脊髓型颈椎病已成为一种越来越引起关注的选择。Key-hole即“钥匙孔”技术,就是从颈后方经皮将直径0.7cm大小工作通道放入病变节段的骨面,镜下在椎板骨质上打个类似于钥匙孔的区域,经过该骨孔到达病变部位,进行病变部位突出髓核的摘除这样一种手术。镜下可以在屏幕上直视放大5倍的神经根、硬膜囊等神经结构、以及突出压迫神经的椎间盘髓核组织,在微创特制器械的帮助下,术者可安全地去除病变压迫。该手术具有对颈椎肌肉、关节损伤小、出血少(<20ml )、恢复快(术后第2天下地)、费用低、住院时间短等优点、逐渐成为临床神经根性颈椎病、部分脊髓型颈椎病患者的一种理想的治疗方法。

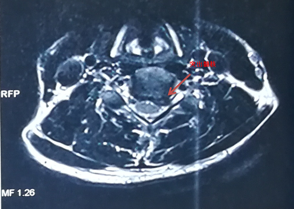
手术前MRI

术中取出的髓核组织

术后三维CT

Key-hole手术后
自2013年以来,贺西京教授、李浩鹏主任大力支持,在麻醉手术科的积极配合下,由王栋副主任带领、李锋涛副主任医师、赵波主治医师等组成的脊柱微创团队,积极钻研、广泛交流,在陕西省较早开展了腰椎间盘突出症、腰椎椎管狭窄症、腰椎间盘突出术后复发等疾病的脊柱内镜(椎板间隙入路PELD、椎间孔入路PELD)、Mis-TLIF等微创治疗,取得了良好的临床结果及广泛的社会效益。
颈椎后路Key-hole手术是近年来脊柱外科开展的颈椎微创新技术,同时我院也是陕西省最早独立完成全腔镜下颈椎Key-Hole手术的三甲医院,该微创技术处于国内先进水平。