电话:029-87679000(总机)
地址:陕西省西安市西五路157号
邮编:710114
网址:www.2yuan.xjtu.edu.cn
近日我院骨二科成功完成一例神经源性胸椎旁巨大肿瘤切除术。
患者彭某,男,63岁,以胸背部疼痛5年,双下肢无力麻木半年之主诉入院,5年前无明显原因出现胸背部疼痛,影响夜休,就诊于当地医院,给与对症治疗,效果欠佳,背痛逐渐加重,长期服用非甾体类止痛药止痛,半年前无明显原因出现双下肢麻木、无力,走路不稳,进行性加重,未做治疗,2016年3月初就诊于当地医院,行胸椎MRI:胸6椎体水平椎管内外实质性暂未并胸6椎体附件、右侧第6肋骨骨质破坏,考虑恶性肿瘤可能,全身骨显像提示胸6椎体及右侧第6肋骨代谢异常活跃,恶性病变可能性大。当地医院拒绝治疗,为求进一步诊治,来我院门诊以“脊柱肿瘤”之诊断收入院。发病来食纳差,睡眠可,大小便正常,体重无明显变化。专科情况:脊柱生理弧度可,胸6棘突及附件压痛叩击痛阳性,半双下肢抽痛,双下肢肌张力可,肌力约3级,平乳头以下肢体感觉减退,无汗,双侧膝腱反射及跟腱反射阴性,双侧巴氏征阴性,左侧踝阵挛阳性。
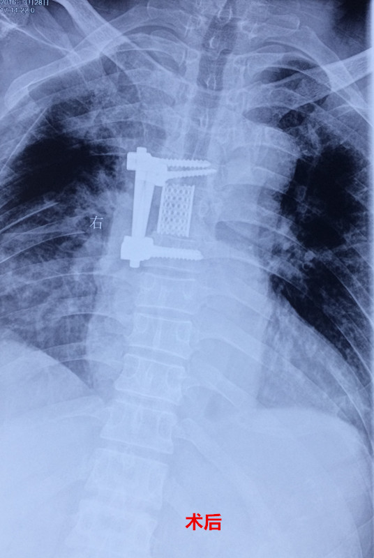
患者入院后,王栋副主任,李锋涛主治医师高度重视,仔细询问患者病情,进行专科查体,分析以往患者的影像学资料,由于肿瘤组织生长巨大,严重压迫右肺,并且已经破坏了胸6椎体及其附件、右侧第6肋骨等,局部结构复杂,为了帮助手术方案的设计,我们采用3D打印技术,术前将肿瘤局部解剖结构打印成3D模型。邀请胸外科张维教授多次会诊,根据3D打印模型制定了详细的手术计划及围手术期治疗方案。经过严密的手术前准备,以王栋副主任、张维教授为主刀、李锋涛主治医师为助手,吴刚副主任医师、罗斌医师为麻醉医师,殷敏、马霞为配合护士,黄亚娟、王芳医师为术中诱发电位监护医师的手术团队努力下,手术顺利完成,成功切除了胸腔内、椎体旁及椎管内肿瘤组织,并进行了脊柱的重建。术后患者恢复良好,很快下肢感觉、肌力恢复,现患者正在康复中。
由于脊柱具有特殊的解剖结构,前方紧邻大血管及内脏,两侧有神经根走行,椎管内是脊髓,这就使得脊柱肿瘤的完整切除变得十分复杂,并且脊柱肿瘤复发后再次手术切除的机会很小,因此脊柱肿瘤手术难度大,复发率高,疗效差,一直是骨肿瘤治疗中的难点。近年来,骨二科先后开展了各种类型的原发性及转移性脊柱肿瘤的手术治疗,尤其是对于单个椎体肿瘤的整体切除,明显减少了术后的复发率,提高了患者的生存时间。对于复杂的脊柱肿瘤,由于局部解剖结构紊乱,使得手术切除变得十分困难,因此我们结合最新的3D打印技术,在术前诊断肿瘤局部进行3D打印,制成模型,在术前根据具体模型设计最佳手术方案及切除范围,术中参考3D模型提高具体操作效率,避免血管神经损伤,明显减少了手术时间及术后并发症,获得了良好的治疗效果。




