电话:029-87679000(总机)

地址:陕西省西安市西五路157号

邮编:710114

网址:www.2yuan.xjtu.edu.cn

国际版| 员工版| 进入旧版|

阅影探案,析病寻踪 // 第二期(下)

时间:2026-01-23   作者:明宗娟   责编:呼吸与危重症医学科     来源:     阅读:

影像方寸藏玄机,同影异病辨真章。第二期我们给大家提供了一例肺部阴影伴肺部囊性病变的病例,依然隐藏着绕不开的肺部囊性病变的鉴别。让我们一起析病寻踪,深挖疾病真相,共探诊疗核心!

析病寻踪

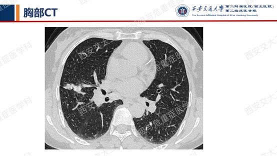
患者呼吸道症状并无太多特异性,还是从影像资料入手,右肺中叶外侧段高密度灶并纵隔及右肺门淋巴结肿大,同时存在双肺多发囊性病变,一元论?多元论?



患者实验室常规检查项目无明显异常,结核感染T淋巴细胞:测定管-阴性对照管1685.11pg/mL,阳性(+)PPD试验++;肿瘤标志物阴性。当我们无法肉眼一下子看穿疾病本质,一定要根据病情启用呼吸科第三只眼睛——支气管镜。针对右肺中叶外侧段病灶行EBUS-TBLB,病理回报“慢性炎并灶状碳末沉积”;针对纵隔、肺门肿大淋巴结行EBUS-TBNA,4R组病理回报“慢性肉芽肿性炎伴灶状坏死”,加做TB-DNA阳性。继发性肺结核并纵隔淋巴结结核诊断明确,但双肺多发囊性病变用结核难以解释。

囊性病变常要鉴别的疾病包括我们第一期的BHDLAM,还有LIP(淋巴细胞性间质性肺炎)、PLCH(肺朗格汉斯组织细胞增多症)、PLCDD(肺轻链沉积病)等。该患者囊性病变特点:沿支气管血管束周围分布,多个囊有血管贴边或穿行于囊肿壁。追问患者有口干不适,进一步行SS-A 52 101.65 AUSS-A 60 47.30AUANA 阳性(+),滴度1:10000 阳性(+),又经唾液流率、泪液流率、唇腺活检及风湿免疫科会诊,诊断干燥综合征。

需要强调的是,LIP影像表现较为复杂——弥漫性GGO+边界模糊之小叶中心性结节+胸膜下结节+支气管血管束增粗+多发囊样气腔各种征象可单独或同时存在。我们最近几期病例会聚焦在弥漫性囊性肺疾病,所以展示的病例影像基本以囊变为主。

温故知新

第一期埋下的伏笔,以下2例不同患者的胸部影像改变,又分别考虑什么疾病呢?答案呼之欲出,相信大家也越来越清晰了!


分享到: