电话:029-87679000(总机)

地址:陕西省西安市西五路157号

邮编:710114

网址:www.2yuan.xjtu.edu.cn

国际版| 员工版| 进入旧版|

阅影探案,析病寻踪 // 第四期(下)

时间:2026-02-10   作者:   责编:呼吸与危重症医学科     来源:     阅读:

影像方寸藏玄机,同影异病辨真章。第期我们提供了一例弥漫性肺部阴影的病例,是感染性疾病?肿瘤性疾病?还是非感染非肿瘤性疾病?让我们一起析病寻踪,深挖疾病真相,共探诊疗核心!

析病寻踪



这名57岁的中年男性既往有吸烟史,无明显呼吸道症状,体检发现肺部阴影,入院后完善多系统检查未获明确指向性线索,经支气管肺活检(TBLB)的病理结果也无特异性诊断价值。其诊断还得管中窥豹,以影识病。

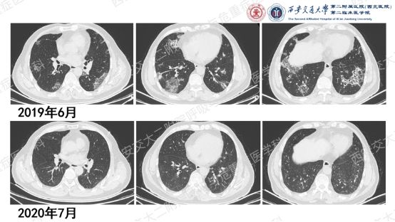
让我们一起从影像入手,看看这名患者的胸部CT特征:双肺多发斑片、实变和磨玻璃影,胸膜下和支气管血管束周围分布为主,病灶无明显空洞、钙化,可见散在支气管充气征,反晕征(中心磨玻璃影 + 外周环形实变影)尤为显著,伴典型“环礁征”(病灶边缘呈结节状隆起,类似环礁形态)。基于这些特征性影像学表现,同时排除细菌、真菌、结核感染及结缔组织病、肿瘤等常见病因,临床诊断隐源性机化性肺炎(COP)。

COP是一种病因不明的机化性肺炎(OP),属于特发性间质性肺炎的亚型,由肺部不明原因损伤引发的局部炎症及修复异常所致。其临床以急性或亚急性起病为特征,影像学表现具有“五多一少”的典型特点,是诊断及鉴别诊断的核心依据:

①多态性:可呈斑片状、实变状、团块状、条索状、地图状、结节状、粟粒状、网织状等各种形态,以前4种比例较高,每例患者多同时具有2种以上的形态。

②多发性:COP多为两肺多发性病灶。

③多变性:病灶有明显的游走性,具有此起彼伏的特点,多数病例在1周内可见观察到病灶的明显变化。抗感染治疗基本不影响病灶的变化。

④多复发性:文献报道的复发率多在13~58%之间。

⑤多双肺受累:两侧中下肺分布为主,占88%;沿着胸膜分布占96%,不累及胸膜占40%。

⑥蜂窝肺少见:仅有少数晚期重症COP出现蜂窝肺,发生率为4%。

一般来说,OP诊断的第一线索来自影像学特征,若患者经规范抗感染治疗后病灶无改善,结合病理改变(典型表现为肺泡内、肺泡管、呼吸性细支气管及终末细支气管腔内息肉样肉芽组织增生,伴少量炎症细胞浸润,肺结构基本保留,无明显纤维化),排除其他疾病后即可确诊。病理检查是诊断的金标准,但部分患者因活检样本局限(如TBLB取材表浅),可能仅表现为慢性炎症,无法获得典型病理证据。

本例患者虽未获得典型的病理确诊依据,但结合其“双肺多发胸膜下病灶、反晕征+环礁征”的特征性影像学表现、抗感染治疗无效的临床经过,以及全面排除感染、肿瘤、结缔组织病等其他病因,临床诊断COP的依据已充分。

治疗及转归

该患者确诊后,按体重给予50mg(0.75mg/kg)强的松晨起顿服,1月后复查胸部CT提示肺部阴影吸收好转,随后调整剂量为40mg/d,之后以 “每月顿服量减1片”的速度逐步减量,减至10mg/d维持3月,又减至5mg/d维持3月,总疗程13个月。治疗期间定期监测血压、血糖、电解质,未出现明显激素相关不良反应;最终复查胸部影像学示病灶基本吸收

诊疗启示

该患者的治疗取得了满意的效果,但仍存在一定遗憾:当年医院尚未开展肺泡灌洗液细胞分类检查(COP患者肺泡灌洗液多表现为淋巴细胞升高),且TBLB 病理未捕捉到典型机化性改变,未能获得“金标准”级别的诊断依据。即便如此,该病例仍为临床不明原因肺部阴影的诊疗提供了重要思路:

v 拓宽鉴别诊断视野:对于无明显呼吸道症状、抗感染治疗无效的双肺多发阴影患者,除感染、肿瘤外,需警惕COP等间质性肺病的可能,避免漏诊;

v 重视影像学特征的诊断价值:COP的特征性影像学表现(反晕征、环礁征、胸膜下/支气管血管束周围分布、病灶游走性)可作为核心诊断线索,结合实验室检查排除其他疾病后,可初步临床诊断;

v 规范诊断性治疗流程:在缺乏典型病理依据时,应先通过MDT讨论排除禁忌证,再进行糖皮质激素诊断性治疗,若治疗后1~2个月内病灶明显吸收,则进一步验证COP诊断;

v 强化治疗管理细节:COP的激素治疗需遵循“足量起始、缓慢减量、长期维持”的原则,总疗程通常12~18个月,避免突然停药导致病情复发;治疗期间需监测血压、血糖,补充钙质,警惕激素副作用。

v 完善检查手段:对于不明原因肺部阴影患者,建议常规开展肺泡灌洗液细胞分类、病原学检测及基因检测(必要时),条件允许时可重复肺活检或行外科肺活检,以提高诊断准确性,为治疗提供更可靠的依据。


分享到: