电话:029-87679000(总机)
地址:陕西省西安市西五路157号
邮编:710114
网址:www.2yuan.xjtu.edu.cn
患者李某,男,72岁,因“间断胸痛、咳痰伴呼吸困难2月”入洛阳市中心医院呼吸与危重症医学科,完善胸部CT可见右侧胸膜增厚伴少量胸腔积液,行超声引导下胸膜活检:病理示阴性。目前临床检查无法明确病因,该患者的胸腔积液需要进一步明确病因。
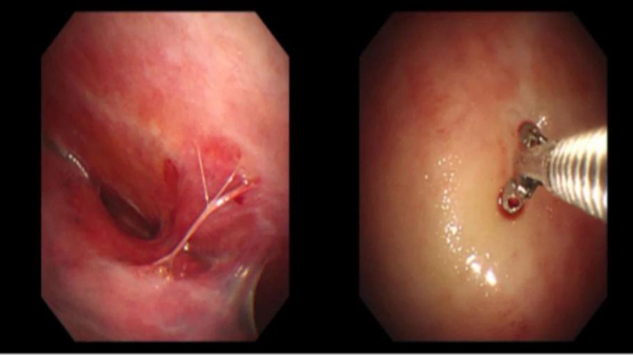
为进一步诊断及治疗,由西安交通大学第二附属医院史红阳教授、洛阳市中心医院张娜莉主任所带领的团队,对患者进行充分评估,排除禁忌证后,在清醒状态下局麻后操作内科胸腔镜,整个检查过程顺利,患者仅有局部的酸胀或轻微疼痛。


内科胸腔镜(Medical Thoracoscopy),也称为胸膜腔镜,是一种侵入性操作技术,主要用于经无创方法不能确诊的胸腔积液患者的诊治。它能够在直视下观察胸膜腔的变化并进行壁层胸膜活检,对胸膜疾病的诊断具有重要的临床意义。对于不明原因的胸腔积液,内科胸腔镜的主要诊断价值在于能够排除病变疑似的恶性疾病或肺结核,还可为一些诊断不明的胸腔积液找到内镜下证据,如风湿性胸腔积液、肝硬化或胰腺炎导致的胸腔积液,以及一些罕见的病因如淀粉样变或结节病。
同时亦可开展内科胸腔镜下的治疗,如粘连松解或胸膜固定术等。但必须仔细评估患者病情及内科胸腔镜的适应证和禁忌证,严格规范操作。本例为洛阳市中心医院开展的首例内科胸腔镜检查,后期将会陆续开展这项检查,为更多的胸腔积液患者的查因带来希望。