电话:029-87679000(总机)
地址:陕西省西安市西五路157号
邮编:710114
网址:www.2yuan.xjtu.edu.cn
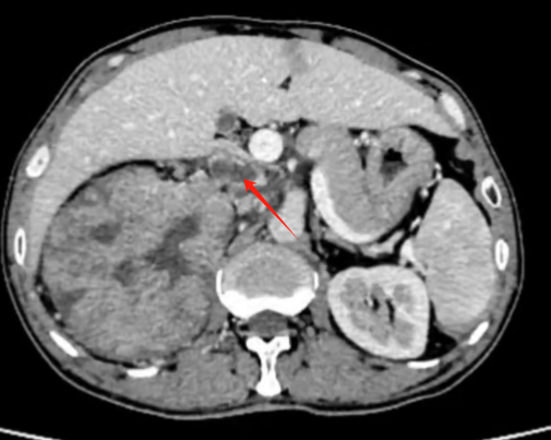
近期,西安交通大学第二附属医院泌尿外科副主任付德来领衔的肾肿瘤团队在一天内成功实施了两例机器人辅助肾癌合并静脉瘤栓手术。手术顺利,术后患者恢复良好,已康复出院。
在泌尿外科领域,肾癌合并静脉瘤栓手术无疑是一块难啃的 “硬骨头”,堪称手术中的 “珠穆朗玛峰”。这一手术的难度超乎想象,术中需要直面人体最粗壮血管的暴露、切开以及精细缝合等诸多棘手环节,每一步操作都如同在悬崖峭壁上行走,稍有不慎,便可能引发严重后果,极高的风险使其当之无愧地被视作泌尿外科手术 “皇冠上的明珠”。
为了给患者的生命健康保驾护航,确保手术万无一失,付德来副主任医师带领团队成员唐骁爽主治医师、闫翀医生、张娅主管护师开启了一场与病魔的“协同作战”。他们严格遵循重大手术报告制度,不敢有丝毫懈怠。术前,积极联合移植外科、血管外科、麻醉科、影像科、输血科、重症医学科等多个学科的权威专家,展开全方位会诊。大家围坐在一起,各抒己见,凭借深厚的专业知识与丰富经验,对患者病情抽丝剥茧,深入剖析,最终制定出详尽周全的手术计划,同时准备了多项应急预案,以备不时之需。
手术当日,更是一场惊心动魄的 “科技赋能之战”。借助先进的达芬奇机器人技术,其超高清 3D 视野仿佛为医生们打开了微观世界的大门,让手术部位的细微结构清晰可见;高精度机械臂则如同医生们灵活自如的 “第三只手”,精准地执行每一个指令。在如此强大的技术助力下,付德来团队配合得天衣无缝,仅耗时 1 小时,就干净利落地完成了肿瘤和瘤栓的精准切除,将术中出血量稳稳控制在 200 - 300mL。
术后,患者的恢复情况同样令人欣喜。术后第 1 天,患者便能轻松下床活动,还能正常饮食,身体机能快速恢复。短短 3 - 5 天,患者们就依次康复出院,重新拥抱健康生活。这一系列的成果,不仅是付德来团队精湛医术的有力见证,更是多学科协作与先进技术完美融合的结晶,为泌尿外科领域此类高难度手术树立了新的标杆。

我院泌尿外科团队在肾癌伴癌栓手术治疗方面积累了丰富经验,10余年前既开展了四级癌栓手术(癌栓从肾静脉延伸至右心房)。既往肾癌伴癌栓手术大部分为开放手,创伤大、出血多,患者恢复慢,达芬奇手术机器人让癌栓手术变得更加微创和精准。近年来我院累计完成机器人肾癌伴癌栓手术50余例,完成手术数量和质量均居西北前列。
作为肾肿瘤亚专业组带头人,付德来副主任医师谈到,在肾癌合并静脉瘤栓的手术领域,机器人技术展现出了极为显著的优势。其配备的超高清裸眼 3D 镜头,拥有高达 10 倍的放大效能,能够将组织内部的细微结构清晰地呈现于术者眼前,仿佛开启了微观世界的大门,让每一处关键细节都无所遁形。不仅如此,机器人所独具的机械臂结构更是一大亮点,既稳定可靠,又具备超乎寻常的灵活性,面对复杂的人体解剖结构,它能够游刃有余地实现精细解剖操作,精准抵达那些传统手术器械难以企及的细微区域。
泌尿外科主任薛力教授指出,我院泌尿外科作为国家重点学科、国家临床重点专科拥有众多前沿技术成果,其中机器人肾癌伴癌栓手术堪称一颗璀璨的明珠,已然成为我科极具标志性的特色技术。在肾肿瘤伴瘤栓微创治疗这一充满挑战的赛道上,该项技术依托自身卓越的性能表现,融合医护团队精湛的专业技艺,稳居西北领先地位,为深受病痛折磨的肾癌患者带来了希望,镌刻着区域医疗技术迭代升级、创新突破的辉煌篇章。
西安交通大学第二附属医院副院长、泌尿外科学术带头人种铁强调,我院始终坚定不移地践行高质量创新发展之路。依托西安交通大学在工科机器人领域得天独厚的优势,医院积极擘画蓝图,全力搭建临床机器人产学研用协同发展平台。这一举措旨在深度融合医学与工科专业知识,打破学科壁垒,切实推动医工交叉融合向纵深发展,同时,将产学研用紧密结合,形成完整闭环,为我院培养出兼具医学专业素养与工科创新思维的高层次复合型人才筑牢根基,注入源源不断的动力。