电话:029-87679000(总机)
地址:陕西省西安市西五路157号
邮编:710114
网址:www.2yuan.xjtu.edu.cn
在医学领域,高龄、多种基础病、急危重脑出血——这三个因素叠加,常被视为救治的“禁区”,意味着极高的死亡与重残风险。然而,近期,我院神经外科联合多学科团队,以精湛的技术、缜密的协作与不放弃的坚守,成功为六位年龄均超过80岁的极危重脑出血患者实施手术并护航康复,创造了生命奇迹。这组病例,不仅是对专科技术的考验,更是对我院急危重症救治体系、围手术期精细管理及复杂并发症处理能力的全面检阅。
挑战极限:当“脑内风暴”遇上“满身旧账”
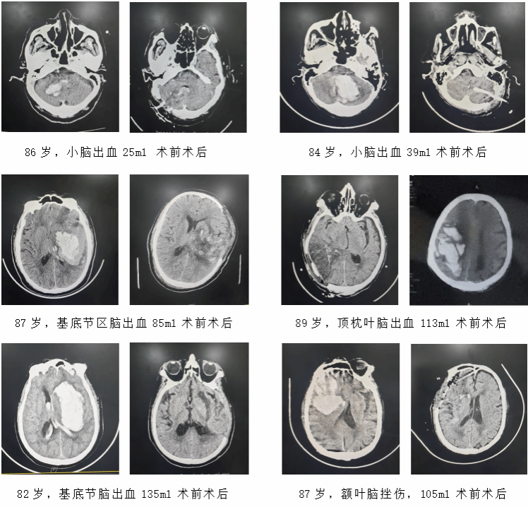
这六位高龄患者,年龄跨度82岁到89岁,平均年龄86岁,入院时均因突发意识障碍、偏瘫或生命体征不稳送至我院急诊。影像检查揭示了夺命的病灶:大量小脑出血、基底节区巨大血肿、顶枕叶出血破入脑室……每一种都是神经外科的急重症。但与普通患者不同,当“脑内风暴”遇上“满身旧账”,风险暴增,他们每个人都背负着一身“旧账”:严重的心功能不全、肺大泡与慢性阻塞性肺疾病(COPD)、慢性肾功能不全、长期高血压与糖尿病等。脆弱的脏器功能,使得麻醉风险呈几何级数攀升,手术耐受性极差,术后任何一个环节的并发症都可能是致命一击。
每次遇到如此棘手的局面,都没有“标准答案”,神经外科立即牵头启动高龄危重脑出血多学科联合诊疗(MDT),多学科协同决策:为“脆弱生命”制定手术方案。
麻醉科专家紧急评估心肺功能,精心设计个体化麻醉方案,力求循环最平稳;心内科、呼吸与危重症医学科、肾内科专家联合会诊,在术前最大限度优化患者心、肺、肾功能,为手术争取哪怕一丝的安全边际。经过反复权衡利弊、与家属充分沟通,团队为每位患者“量体裁衣”,制定了不同的手术策略:包括神经内镜下微创血肿清除术、骨窗开颅血肿清除术等,核心原则是在有效解除脑压迫的前提下,追求最小创伤、最短时间。
手术室成为没有硝烟却分秒必争的战场。麻醉团队利用先进的监测手段,如脑氧饱和度监测、麻醉深度、脑温监测等,实时调控,护航生命体征的“高空走钢丝”。外科医生是刀尖上的舞者,神经外科重症团队在吕健主任医师带领下,由王举波副主任医师主刀、权瑜主治医师、高攀主治医师辅助,凭借丰富的经验和娴熟的技术,在显微镜或神经内镜下精细操作,迅速清除血肿,妥善止血,最大程度减少脑组织损伤。每一台手术,都是技术、经验与决断力的完美结合。

对于高龄患者而言,手术成功仅仅是闯过了第一关,更艰巨的战役是围手术期并发症的“连环考”。正如预见的那样,严重的并发症接踵而至:
· 胃肠系统:三位患者出现麻痹性肠梗阻、肠功能紊乱,营养支持面临挑战。
· 肝胆系统:两位患者胆囊积液、胆汁淤积等问题显现。
· 呼吸系统:在原有COPD基础上,重症肺部感染、呼吸衰竭是最大威胁。
· 全身状况:水电解质紊乱、内环境失调、肾功能波动等。
神经重症监护室(NICU)再创惊喜:化险为夷的守护
患者转入神经外科重症监护室(NICU) 后,一场更为持久的综合攻坚战打响。NICU团队展现了处理极端复杂病情的超凡能力:
· 精细化生命支持:延续高级别血流动力学监测、颅内压管理、目标导向的呼吸机治疗。
· 抗感染阻击战:针对多重耐药菌可能的肺部感染,在药学部支持下精准使用抗生素。
· 多专科协同破局:胃肠外科、消化内科协助处理肠梗阻,制定个体化肠内营养方案;临床营养科科学调配营养支持;康复医学科早期介入,进行呼吸康复、肢体被动活动,预防深静脉血栓和关节挛缩。
在NICU这个核心平台上,各学科专家联合查房,动态调整治疗方案,将一个个汹涌而来的并发症成功化解。“80后”老人相继闯过水肿关、呼吸关、感染关、营养关。意识逐渐清醒,神经功能开始出现恢复迹象。
这些连续救治成功的超高龄、超高危脑出血患者,是我院神经外科乃至全院综合实力的一个缩影,深刻体现了:
1. 无畏挑战的担当精神:面对医学“禁区”,不轻言放弃,基于科学评估勇于承担责任。
2. 成熟高效的多学科协作(MDT)模式:从术前评估、手术决策到术后管理,真正实现了以患者为中心的无缝衔接,形成了强大的救治合力。
3. 卓越的神经重症(NICU)综合管理能力:证明了我们不仅有能力完成高难度手术,更有能力驾驭最复杂的围手术期病程,处理多系统、连环出现的并发症,这是患者最终能够存活并获得良好预后的关键。
4. 深厚的技术传承与创新:将经典的神经外科手术技术与微创理念、精准麻醉、现代重症监护医学完美结合,形成了针对高龄危重患者的特色救治路径。
这六位高龄患者的康复之路,是生命的韧性之歌,更是现代医学团队协作、永不言弃精神的最佳注脚。它向公众昭示:年龄和基础疾病并非绝对的手术禁忌,通过缜密的规划、精湛的技术和全方位的守护,即使是最脆弱的生命,也依然有机会被挽回,重享天伦。我院神经外科及相关学科团队,将继续磨砺技艺,精诚协作,为更多危重复杂患者托起生命的希望。