电话:029-87679000(总机)
地址:陕西省西安市西五路157号
邮编:710114
网址:www.2yuan.xjtu.edu.cn
2021年12月21日上午,呼吸与危重症医学科与麻醉科协同完成一例恶性大气道狭窄导致呼吸严重困难患者呼吸内镜下气道再通手术,术后患者呼吸平稳。

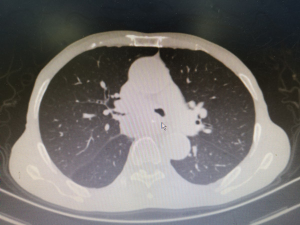
据悉,该患者为晚期食道癌并大气道转移,极度呼吸困难。从今年8月份开始,先后辗转西安2家三甲医院,因气道内病变复杂,未给予气道内治疗致气道阻塞逐渐加重,患者呼吸也来越困难困难。2021年12月17日,由当地医院转入二附院呼吸与危重症医学科。入院时患者端坐呼吸,不能平卧,说话不能成句,呼吸困难严重。气道三维重建显示左侧气道90%狭窄,右侧气道几乎完全堵塞。需紧急打通气道,挽救患者生命。

鉴于我院严峻的疫情防控形势下,麻醉科在工作人员非常紧缺的情况下紧急协调,12月21日11点,在麻醉科李卫松、郑思敏医生协助下,我科张德信副教授急诊为患者行硬支气管镜下气道再通术。手术首先采用激光打通阻塞相对较轻的左侧支气管,保证通气后,再采用激光打通右侧气道,暴露右肺上叶,后经球囊扩张右肺下叶,可见较多量痰液涌出,提示右肺下叶也恢复通气,提示手术成功完成。随后为患者定制Y型支架置入,维持较久疗效。手术历经2个多小时。患者清醒后自觉呼吸困难完全缓解。