电话:029-87679000(总机)
地址:陕西省西安市西五路157号
邮编:710114
网址:www.2yuan.xjtu.edu.cn
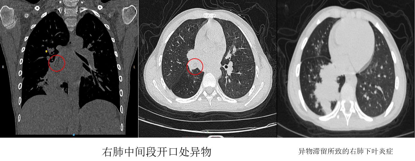
近日,一位9岁男孩捂着胸部走进西安交通大学第二附属医院儿科呼吸专科诊室,父母紧随其后,王慧渊主治医师立即询问此次就诊的原因,男孩母亲述孩子近7个月反复右肺下叶肺炎,经人推荐来到西安交通大学第二附属医院儿童病院呼吸专科门诊就诊,经过详细询问病史发现患儿在7个月前,口含塑料管状异物时突然摔倒,当时并无明显呛咳、呼吸困难等情况,此后孩子出现反复咳嗽伴发热,伴有胸壁疼痛,紧急为患儿完善胸部CT及支气管三维重建,提示右肺下叶支气管内异物,右肺中下叶支气管内粘液栓伴右肺下叶肺不张,右肺多发炎症。

由于异物嵌顿时间长,已有七月之久,住院后患者受到科室的重视,儿科主任杨琳教授看过患儿后指示做好万全准备,制作两套计划,先行支气管镜探查,取异物,若未成功,再联合耳鼻喉科进行硬支气管镜下取异物。王慧渊主治医师、申丹丹住院医师和谢梅副主任护师的默契配合下,凭借着精湛的技术,通过儿童支气管镜精准定位到异物所在位置,并成功将其取出,让孩子转危为安。

异物取出后,患儿安返病房,经过7天充分抗感染治疗,复查胸部CT示右中间段支气管通畅,右肺下叶炎症明显吸收,好转出院。
该例患儿困难支气管异物的成功取出,彰显了西安交通大学第二附属医院儿科呼吸介入技术的精湛医疗水平。同时提醒各位家长关注儿童异物吸入的风险。孩子如果出现反复肺炎时,一定要询问是否有异物吸入史,并积极完善胸部CT和支气管三维重建检查,争取早诊断,早治疗。